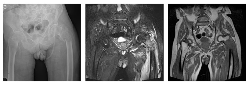
CASE 30: Fracture due to bladder cancer metastasis to the left hip (proximal femur).
- Hits: 29

Before the surgery: X-ray and MRI show a fracture, displacement, and surrounding edema in the left hip (proximal femur) bone.

Post-surgery: The image shows the placement of a cemented tumor prosthesis on the upper end of the left femur.

