Vaka 9: Lomber, Sakrum ve İliak Kanat Yerleşimli Osteosarkom
- Gösterim: 164
Lomber, sakrum ve iliak kanat bölgesini birlikte tutan osteosarkomlar nadir görülür ve kompleks anatomik yapıları nedeniyle ileri düzey cerrahi planlama gerektirir. Bu tür olgularda hem tümörün temiz sınırlarla çıkarılması hem de omurga-pelvis stabilitesinin korunması büyük önem taşır.
Hasta Bilgileri:
16 yaşında kız hasta
Yaklaşık 10 aydır devam eden ağrı ve şişlik şikayetiyle başvurdu.
Yurt dışında yapılan biyopsi sonucu osteosarkom olarak raporlandı.
4 kür kemoterapi tedavisi tamamlandı.
Taramalarda metastaz saptanmadı.
Uygulanan Tedavi:
Hastaya lumbo-sakro-pelvik bölgeyi kapsayan geniş rezeksiyon uygulandı.
Rekonstrüksiyon aşamasında rod/vida sistemi, titanyum cage ve fibula grefti kullanıldı.
Ameliyat multidisipliner ekip tarafından gerçekleştirildi.
Sonuç:
Cerrahi sırasında herhangi bir komplikasyon gelişmedi. Hastanın postoperatif dönemi stabil seyrederek yakın klinik ve radyolojik takibe alındı.
Görsel Açıklamaları
Ameliyat Öncesi: MR’da lomber 4.vertebradan başlayıp sakrum ve iliak kanattan kalça eklemine kadar uzanan yumuşak dokuyu infiltre eden ve kemik harabiyetine neden olan tümör dokusu görülmekte.

Ameliyat Öncesi: MR’da lomber 4.vertebradan başlayıp sakrum ve iliak kanattan kalça eklemine kadar uzanan yumuşak dokuyu infiltre eden ve kemik harabiyetine neden olan tümör dokusu görülmekte.

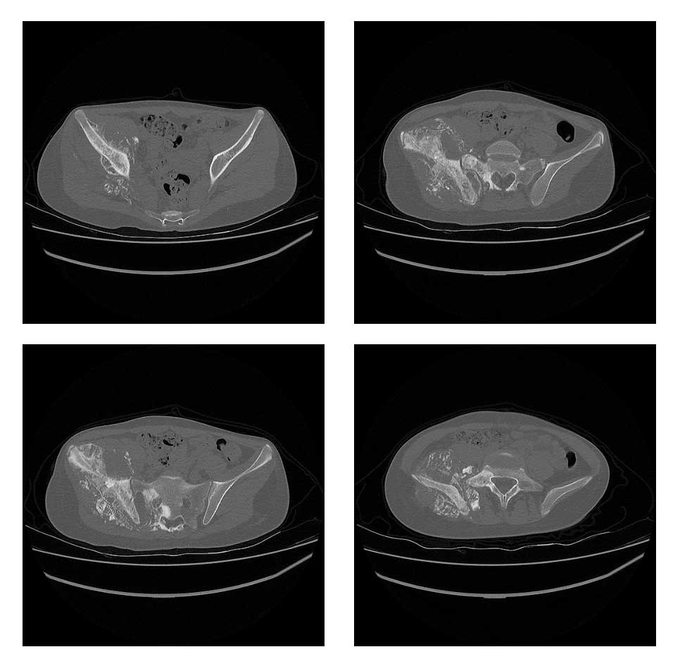
Ameliyat Öncesi: Tomografide lomber 4.vertebradan başlayıp sakrum ve iliak kanattan kalça eklemine kadar uzanan yumuşak dokuyu infiltre eden ve kemik harabiyetine neden olan düzensiz sınırlı tümör dokusu görülmekte.

Ameliyat Esnası: İnsizyon planlaması.
Ameliyat Esnası: Çıkarılan tümör dokusunun klinik görüntüsü.
Ameliyat Esnası: Tümör çıkarıldıktan sonra oluşan boşluk ve fibula+titanyum kafes+rod/vida ile yapılan rekonstrüksiyon.

Ameliyat Sonrası: Röntgende rezeksiyon sonrası rekonstrüksiyon işlemi görülmekte.


