Vaka 10: Lomber, Sakrum ve İliak Kanat Yerleşimli Osteosarkom
- Gösterim: 149
Lomber, sakrum ve iliak kanadı birlikte tutan osteosarkomlar, omurga ve pelvisin birleşim bölgesinde yer aldığı için cerrahi açıdan son derece karmaşık tümörlerdir. Bu bölgede yapılan cerrahilerde, hastanın genel durumu ve enfeksiyon riski, rekonstrüksiyon kararını doğrudan etkiler.
Hasta Bilgileri:
15 yaşında kız hasta
Yaklaşık 8 aydır devam eden ağrı ve şişlik şikayeti mevcut.
Yurt dışında yapılan biyopsi sonucu osteosarkom tanısı konuldu.
Taramalarda metastaz saptanmadı.
3 kür kemoterapi uygulandı.
Uygulanan Tedavi:
Hastaya L5, sakrum ve iliak kanadı kapsayan geniş rezeksiyon uygulandı.
Mevcut genel durumu ve enfeksiyon riski nedeniyle rekonstrüksiyon işlemi uygulanmadı.
Sonuç:
Ameliyat sonrası yara iyileşmesi sağlanan hasta, kemoterapi sürecinin devamı için pediatrik onkoloji bölümüne yönlendirildi.
Görsel Açıklamaları
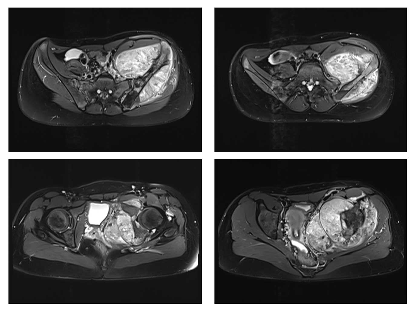
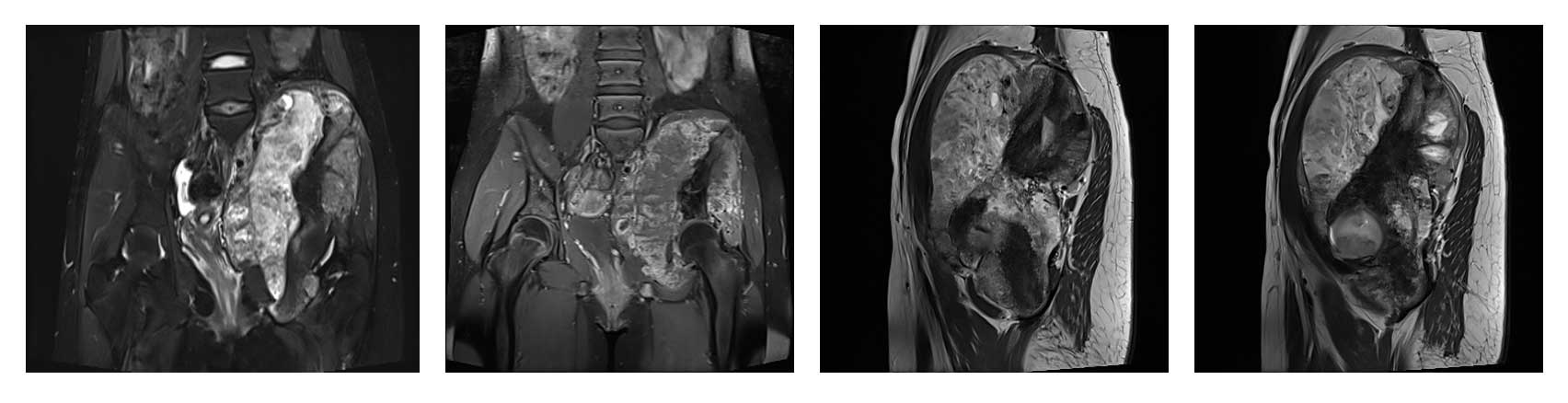
Ameliyat Öncesi: MR’da lomber 5. vertebra, sakrum ve iliak kanatın tamamını tutan kemikte harabiyete neden olup yumuşak dokuya uzanan büyük tümör dokusu görülmekte.

Ameliyat Öncesi: MR’da lomber 5. vertebra, sakrum ve iliak kanatın tamamını tutan kemikte harabiyete neden olup yumuşak dokuya uzanan büyük tümör dokusu görülmekte.

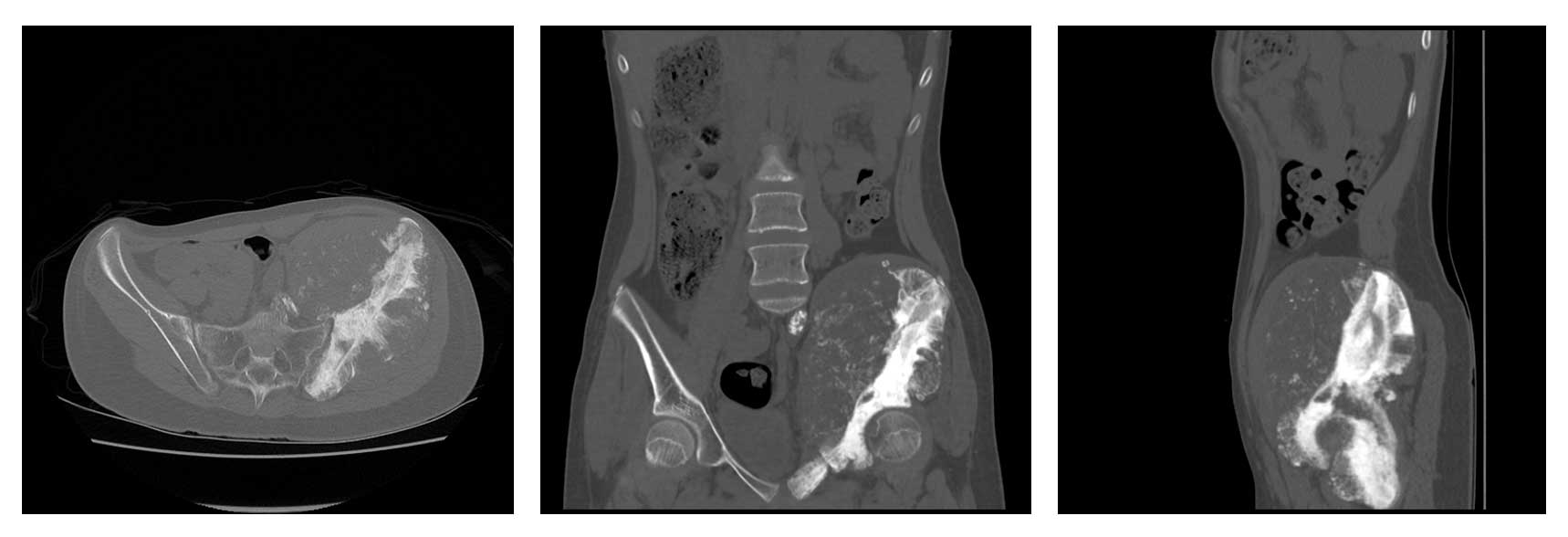
Ameliyat Öncesi: Tomografide lomber 5. vertebra, sakrum ve iliak kanatın tamamını tutan kemikte harabiyete neden olup yumuşak dokuya uzanan büyük tümör dokusu görülmekte.

Ameliyat Esnası: Eksternal iliak ven’in rezeksiyona dahil edilmesi ve greft ile by-pass uygulanması.
Ameliyat Esnası: Lumbosakral laminektomi uygulanması sonrası dura ve köklerin ortaya konulması.
Ameliyat Esnası: Çıkarılan tümör dokusunun klinik görüntüsü.
Ameliyat Esnası: Çıkarılan tümör dokusunun skopi görüntüsü.
Ameliyat Sonrası: Röntgende rezeksiyon sonrası görülmekte.


