Vaka 6: Sakrum Yerleşimli Osteosarkom
- Gösterim: 194
Sakrum (kuyruk sokumu) yerleşimli osteosarkom, omurga ve pelvis bileşkesinde görülen nadir ancak agresif kemik tümörlerindendir. Bu bölgedeki tümörler genellikle sinir basısına bağlı olarak ağrı, uyuşma ve yürüme güçlüğü gibi belirtilerle ortaya çıkar. Erken tanı ve multidisipliner cerrahi yaklaşım, fonksiyonel sonuçlar açısından kritik öneme sahiptir.
Hasta Bilgileri
Cinsiyet: Erkek
Yaş: 25
Tanı: Sakrum yerleşimli osteosarkom
Metastaz durumu: Negatif
Ön tedavi: Neoadjuvan kemoterapi
Tanı ve Bulgular
Hasta, bel, kalça ve bacak ağrısına eşlik eden uyușma ve karıncalanma şikayetleri ile başvurdu. Nörolojik bulgular nedeniyle yapılan detaylı görüntülemelerde sakrum kaynaklı kitle saptandı. Yapılan iğne biyopsisi sonucu osteosarkom olarak raporlandı. Taramalarda başka odakta metastaz saptanmadı.
Tedavi Süreci
Hasta neoadjuvan kemoterapi sürecini tamamladıktan sonra iliak kanat posterior ve L5 vertebra yarısı dahil total sakrektomi gerçekleştirildi. Çıkarılan tümörlü bölgenin ardından omurga ve pelvis stabilitesinin yeniden sağlanması amacıyla titanyum kafes, fibula grefti ve lumbopelvik fiksasyon kullanılarak rekonstrüksiyon işlemi başarıyla uygulandı.
Sonuç
Ameliyat sonrası dönemde komplikasyon gelişmeyen hasta, fonksiyonel rehabilitasyon sürecine alınmış ve yakın klinik takip planlanmıştır. Yara iyileşmesi sorunsuz olan hasta, tedavi sonrası tıbbi onkolojiye yönlendirilmiştir.
Görsel Açıklamaları
Ameliyat Öncesi: Röntgende sağ sakroiliak bölgede düzensizlik ve ossifikasyon görülmekte.
Ameliyat Öncesi: MR’da sağ iliak kanat posterior sakroiliak bölge üst kısım ve sakrumun tamamına yakınını kapsayan tümör dokusu ve çevreleyen ödem görülmekte.

Ameliyat Öncesi: MR’da sağ iliak kanat posterior sakroiliak bölge üst kısım ve sakrumun tamamına yakınını kapsayan tümör dokusu ve çevreleyen ödem görülmekte.
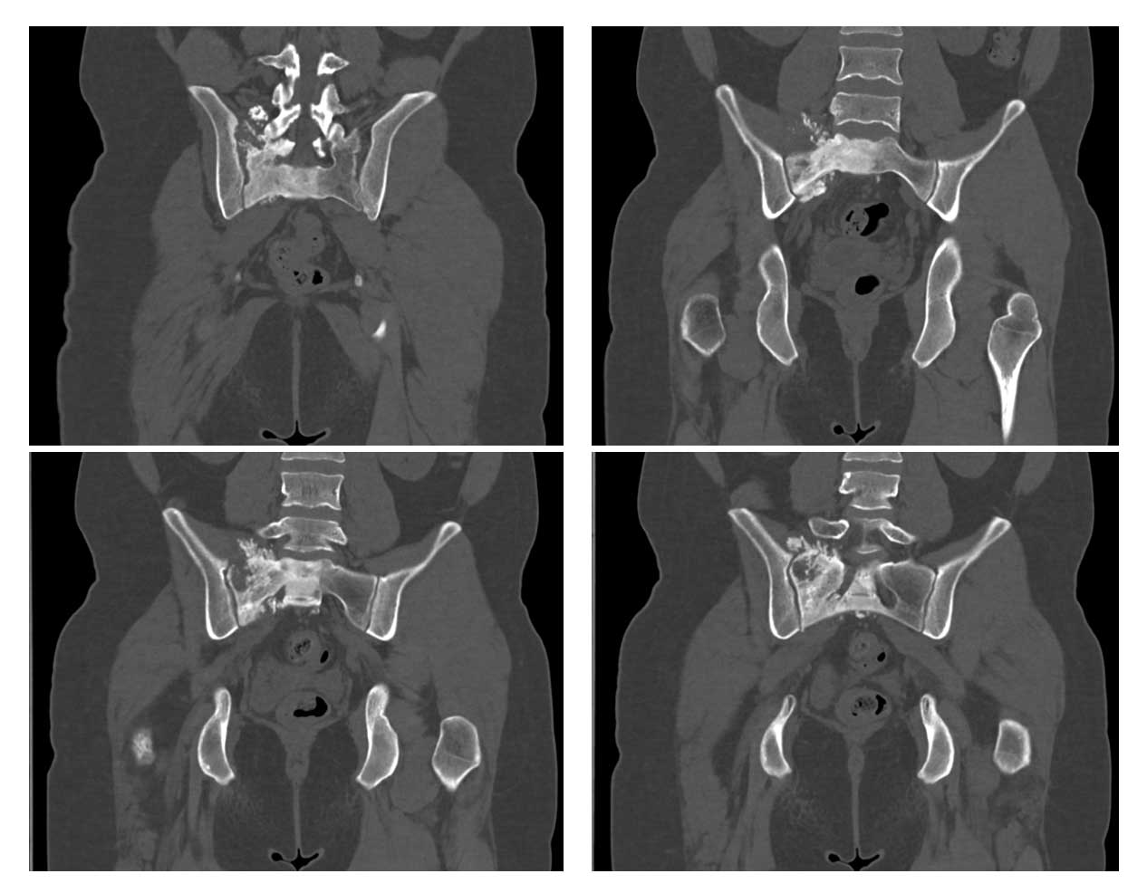
Ameliyat Öncesi: Tomografide sağ sakroiliak bölgede düzensizlik ve sklerozun eşlik ettiği tümör dokusu görülmekte.
Ameliyat Öncesi: Tomografide sağ sakroiliak bölgede düzensizlik ve sklerozun eşlik ettiği tümör dokusu görülmekte.

Ameliyat Esnası: Rezeksiyon dokusunun klinik ve skopi görüntüsü.

Ameliyat Esnası ve Sonrası: Total sakrektomi sonrası fibula, titanyum kafesler ve lumbopelvik fiksasyon ile yapılan rekonstrüksiyon işleminin klinik ve röntgen görüntüsü.


