Vaka 12: Sakroiliak Yerleşimli Osteosarkom
- Gösterim: 163
Sakroiliak yerleşimli osteosarkomlar, pelvisin arka kısmını etkileyen agresif kemik tümörleridir. Erken tanı ve multidisipliner cerrahi yaklaşım, hastalığın kontrolü ve yaşam kalitesi açısından kritiktir.
Hasta Bilgileri:
24 yaşında erkek hasta
Bel ve sağ kalçada ağrı şikayeti ile başvurdu.
Skopi altında yapılan iğne biyopsisi ile osteosarkom tanısı kondu.
Taramalarda metastaz bulunmadı.
Uygulanan Tedavi:
Hastaya 3 kür kemoterapi uygulandıktan sonra sakroiliak rezeksiyon yapıldı.
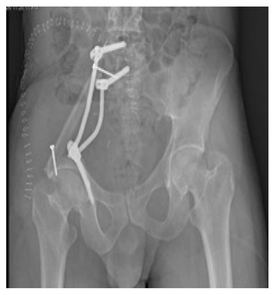
Oluşan boşluk, aynı bacaktan alınan fibula ve pedikül vidaları/rodlar ile rekonstrüksiyon edildi.
Sonuç:
Ameliyat esnası ve sonrası sorunsuz geçti. Hasta yara iyileşmesini takiben kemoterapiye devam etmek üzere tıbbı onkolojiye yönlendirildi.
Görsel Açıklamaları
Ameliyat Öncesi: Röntgen, tomografi ve MR’da sağ sakroiliak bölgede düzensizlik ve harabiyet görülmekte.

Ameliyat Esnası: İnsizyonun işaretlenmesi, rezeksiyon sonrası damar ve sinir yapıları ile rekonstrüksiyon uygulanımı görülmekte.

Ameliyat Esnası: Çıkarılan tümörün klinik ve skopi görüntüsü.
Ameliyat Sonrası: Röntgende sakroiliak rezeksiyon sonrası fibula ve pedikül vidası/rodlar ile rekonstrüksiyon görünmekte.


