Vaka 29: Diz (Distal femur) Yerleşimli Osteosarkom
- Gösterim: 228
Diz çevresinde ağrı ve şişlik şikayetiyle başvuran genç erkek hastamızda, distal femur yerleşimli ve diz eklemine uzanan osteosarkom tanısı konulmuş, kemoterapi sonrası başarılı bir tümör rezeksiyonu ve protez rekonstrüksiyonu gerçekleştirilmiştir.
Hasta Bilgileri:
Genç erkek hasta
Distal femur yerleşimli, diz eklemine uzanım gösteren osteosarkom tanısı mevcut
Tedavi:
Hastaya kemoterapi sürecinin ardından ekstraartiküler diz rezeksiyonu uygulanmış ve tümörlü kemik çıkarılmıştır. Eksize edilen alan, distal femur tümör protezi ile yeniden yapılandırılmıştır. Böylece hem tümörün tamamen çıkarılması hem de diz fonksiyonlarının korunması sağlanmıştır.
Sonuç:
Ameliyat sonrası süreç sorunsuz ilerlemiş, hastanın yürüme ve diz hareket fonksiyonları korunmuştur. Hasta, tedavi sonrası rehabilitasyon ve onkolojik takip programına alınmıştır.
Görsel Açıklamaları
Ameliyat Öncesi: Röntgende distal femurda düzensizlik, MR’da aynı lokalizasyonda büyük tümör dokusunun eşlik ettiği eklemde efüzyon görülmekte.

Ameliyat Esnası: Patella kesimi, rezeksiyon sonrası oluşan boşluk ve yumuşak doku örtümü görülmekte.
Ameliyat Esnası: Çıkarılan tümörlü diz ekleminin klinik ve skopi görüntüsü.
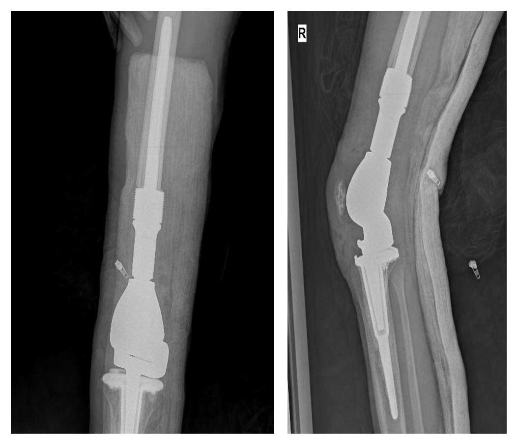
Ameliyat Sonrası: Röntgende rezeksiyon sonrası uygulanan distal femur tümör protezi görülmekte.


