Vaka 21: Uyluk Kemiği (Femur) Yerleşimli Osteosarkom
- Gösterim: 223
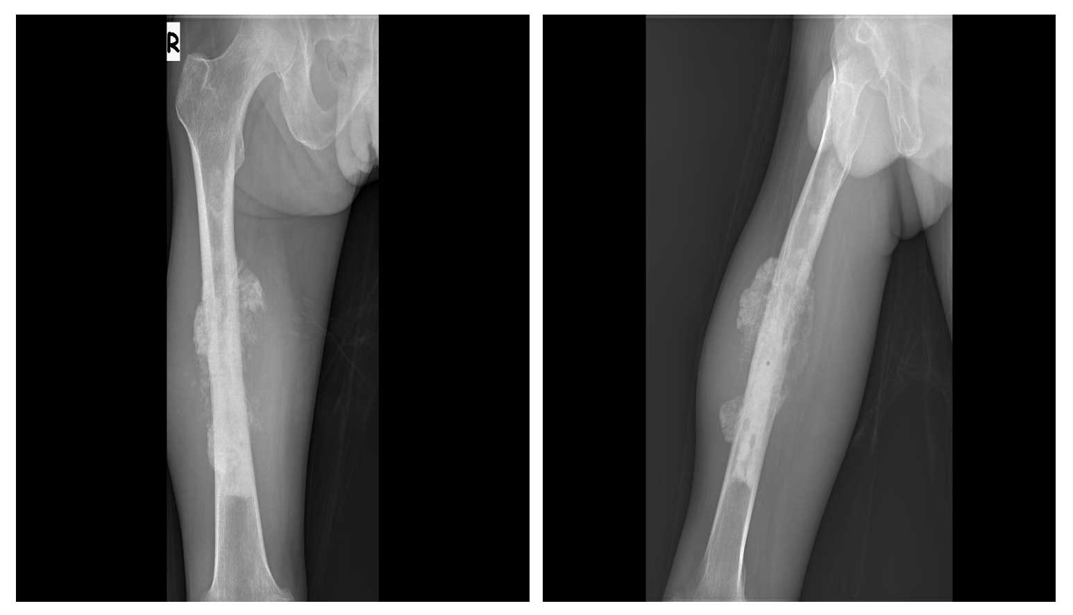
Femur diafiz yerleşimli klasik osteosarkom tanısı konulan genç erkek hastamızda, onkolojik tedavi süreci tamamlandıktan sonra fonksiyonel bütünlüğün korunmasına yönelik cerrahi planlama yapılmıştır.
Hasta Bilgileri:
Genç erkek hasta
Femur diafiz yerleşimli klasik osteosarkom tanısı mevcut
Tedavi:
Kemoterapi sürecinin ardından hastaya geniş rezeksiyon uygulanmış, çıkarılan kemik dokusunun yerine total femur protezi ile rekonstrüksiyon gerçekleştirilmiştir. Bu sayede hem tümör dokusu tamamen uzaklaştırılmış hem de bacak fonksiyonları korunmuştur.
Sonuç:
Ameliyat sonrası dönemde hastanın fonksiyonel durumu iyi seyretmiş, takiplerinde lokal nüks veya metastaz bulgusuna rastlanmamıştır.
Görsel Açıklamaları
Ameliyat Öncesi: Röntgende femur diafizde düzensiz sınırlı periost reaksiyonuna neden olan sklerotik tümör dokusu görülmekte.

Ameliyat Öncesi: MR’da aynı lokalizasyonda femurun tamamına yakınını dolduran yumuşak dokuya uzanım gösteren ve çevreleyen ödemin eşlik ettiği düzensiz sınırlı tümör dokusu görülmekte.

Ameliyat Esnası: İnsizyon hattı, rezeksiyon materyali ve deneme protezi görülmekte.

