Vaka 14: Leğen Kemiği (İliak kanat) Yerleşimli Osteosarkom
- Gösterim: 189
İliak kanattan kaynaklanan ve sakruma uzanan osteosarkom, genç hastalarda nadir görülen agresif bir kemik tümörüdür. Cerrahi rezeksiyon ve modüler tümör protezi ile rekonstrüksiyon başarılı bir şekilde sağlanabilir.
Hasta Bilgileri:
Genç kadın hasta
Sol leğen kemiği ve sakrum yerleşimli osteosarkom
Taramalarda metastaz yok.
Uygulanan Tedavi:
Geniş rezeksiyon (internal hemipelvektomi) yapıldı.
Modüler tümör protezi ile rekonstrüksiyon gerçekleştirildi.
Kalça transpozisyonu ile eklem stabilitesi sağlandı.
Sonuç:
Ameliyat başarılı, hasta yakın takibe alındı ve postoperatif izlem planlandı.
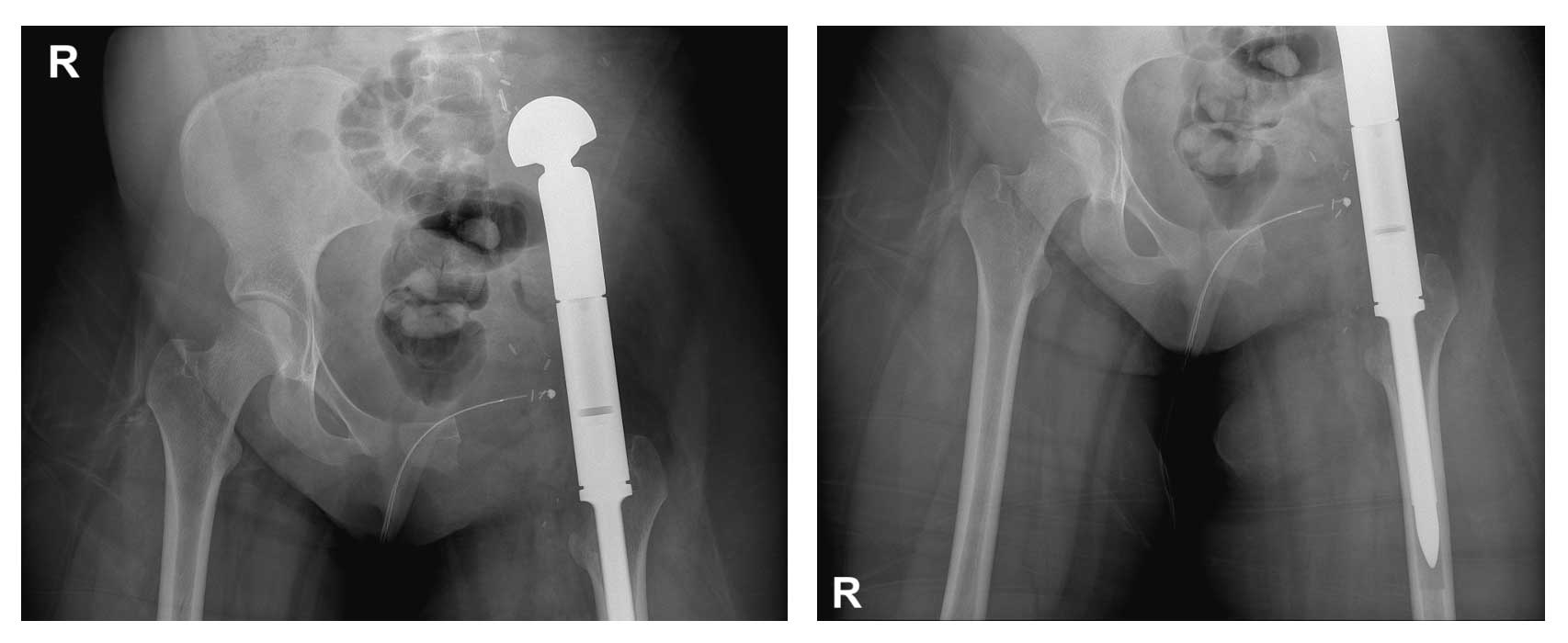
Görsel Açıklamaları
Ameliyat Öncesi: Röntgende sol iliak kanatı tamamen kaplayan sklerotik kitle dokusu görülmekte.

Ameliyat Öncesi: Tomografide sol iliak kanat kaynaklı düzensiz içerikli ve sınırlı tümör dokusu.

Ameliyat Öncesi: MR’da aynı lokalizasyonda kemikte harabiyete neden olan ve yumuşak dokuya uzanım gösteren tümör dokusu görülmekte.
Ameliyat Esnası: Çıkarılan tümör dokusunun klinik görüntüsü görülmekte.

Ameliyat Esnası: İnternal hemipelvektomi sonrası oluşan boşluk ve tümör protezinin prolen mesh ile sakruma stüre edilmesi görülmekte.

Ameliyat Sonrası: Röntgende hemipelvektomi sonrası tümör protezi ile uygulanan kalça transpozisyonu görülmekte.


