Vaka 16: Pubik Kol Yerleşimli Osteosarkom
- Gösterim: 206
Pubik kol yerleşimli osteosarkom, pelvik bölgede nadir görülen bir kemik tümörüdür. Erken tanı ve cerrahi rezeksiyon ile yumuşak doku rekonstrüksiyonu uygulanarak fonksiyonel sonuçlar sağlanabilir.
Hasta Bilgileri:
43 yaş kadın hasta
Kasıkta ağrı ve şişlik şikayeti
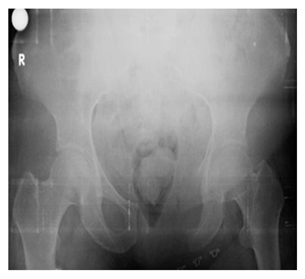
Sol süperior pubik kol yerleşimli osteosarkom
Taramalarda metastaz yok
Uygulanan Tedavi:
Internal hemipelvektomi
Yumuşak doku rekonstrüksiyonu
Sonuç:
Ameliyat başarılı, hastanın fonksiyonu korunmuş ve yakın takip planlanmış durumda.
Görsel Açıklamaları
Ameliyat Öncesi: Röntgen’de düzensizlik, tomografi’de kemik harabiyeti, MR’da yumuşak doku komponenti görülmekte.

Ameliyat Esnası: Çıkarılan rezeksiyon dokusunun klinik görüntüsü.

Ameliyat Sonrası: Röntgende sol Tip-III rezeksiyon uygulanımı görülmekte.

