Vaka 24: Uyluk Kemiği (Femur) Yerleşimli Osteosarkom
- Gösterim: 173
Femur diafiz bölgesinde parosteal osteosarkom tanısı konulan genç kadın hastamızda, başarılı bir cerrahi rezeksiyon ve doğal kemik dokusu ile rekonstrüksiyon işlemi gerçekleştirilmiştir.
Hasta Bilgileri:
Genç kadın hasta
Femur diafiz yerleşimli parosteal osteosarkom tanısı mevcut
Tedavi:
Hastaya yapılan planlama sonrası geniş rezeksiyon uygulanmış, kemik devamlılığının yeniden sağlanması için vaskülerize fibula grefti kullanılarak rekonstrüksiyon yapılmıştır. Bu sayede hem biyolojik bütünlük hem de uzun vadeli fonksiyonel stabilite hedeflenmiştir.
Sonuç:
Ameliyat sonrası iyileşme süreci sorunsuz ilerlemiş, hastanın bacak fonksiyonları korunmuş ve onkolojik açıdan güvenli bir sonuç elde edilmiştir.
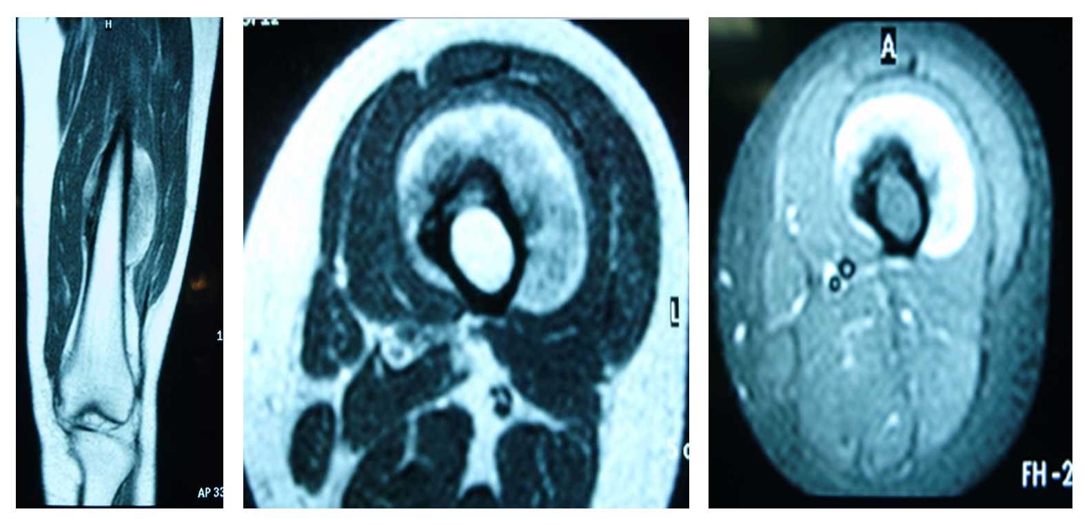
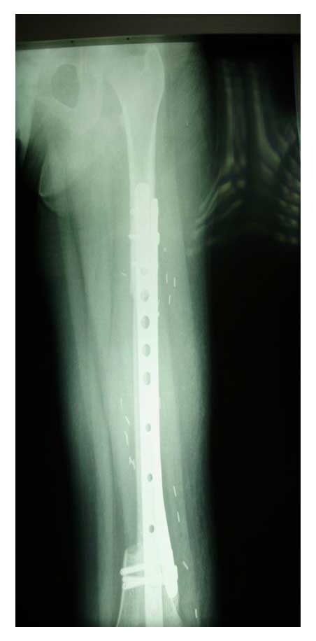
Görsel Açıklamaları
Ameliyat Öncesi: MR’da femur diafiz anterior yüzeyden kaynaklanan düzenli sınırlı tümör dokusu görülmekte.

Ameliyat Esnası: Rezeksiyon sonrası vaskülerize fibula uygulanımı ve titanyum plak ile fiksasyon görülmekte.

Ameliyat Sonrası: Röntgende rezeksiyon sonrası vasülerize fibula uygulanımı ve çift plak ile fiksasyon görülmekte.

