Vaka 22: Uyluk Kemiği (Femur) Yerleşimli Osteosarkom
- Gösterim: 179
Femur yerleşimli klasik osteosarkom tanısı konulan genç kız hastamızda, kemoterapi süreci sonrası hem onkolojik hem de fonksiyonel açıdan başarılı bir cerrahi rekonstrüksiyon gerçekleştirilmiştir.
Hasta Bilgileri:
Genç kız hasta
Femur yerleşimli klasik osteosarkom tanısı mevcut
Tedavi:
Kemoterapi sonrası hastaya geniş rezeksiyon uygulanmış, damar yapılarının korunması için vasküler rekonstrüksiyon yapılmıştır. Ardından ekstremite fonksiyonlarını sürdürebilmek amacıyla total femur protezi ile rekonstrüksiyon gerçekleştirilmiştir.
Sonuç:
Ameliyat sonrası dönemde hasta stabil seyretmiş, fonksiyonel hareket kabiliyeti korunmuş ve lokal nüks bulgusuna rastlanmamıştır.
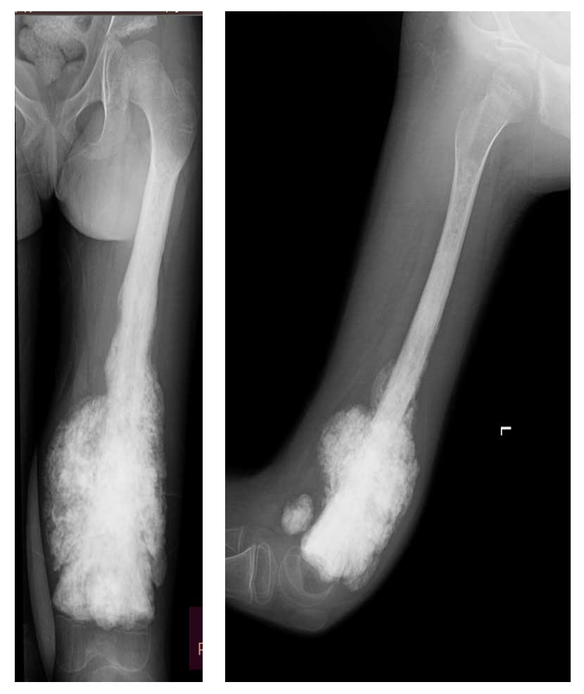
Görsel Açıklamaları
Ameliyat Öncesi: Röntgende femurun tamamına yakınını dolduran, distalde yumuşak dokuya uzanım gösteren düzensiz sınırlı sklerotik tümör dokusu görülmekte.

Ameliyat Öncesi: MR’da femurun tamamına yakınını dolduran distalde büyük kitle oluşturan çevreleyen ödemin eşlik ettiği düzensiz sınırlı tümör dokusu.

Ameliyat Esnası: Total femur rezeksiyonu sonrası safen ven grefti ile vasküler rekonstrüksiyon uygulanımı.
Ameliyat Esnası: Çıkarılan tümörlü femur ve uygulanacak olan total femur protezi.

Ameliyat Sonrası: Röntgende total femur protez uygulanımı görülmekte.


