Vaka 18: Kalça (Femur Boyun) Yerleşimli Osteosarkom
- Gösterim: 228
Femur boyun yerleşimli osteosarkom, gençlerde nadir görülen agresif kemik tümörlerinden biridir. Geniş rezeksiyon ve tümör protezi ile cerrahi müdahale yapılır, böylece kalça fonksiyonu korunur ve hastanın yaşam kalitesi artırılır.
Hasta Bilgileri:
Genç kadın
Sol femur boyun yerleşimli osteosarkom
Metastaz durumu: yok/rapor edilmemiş
Uygulanan Tedavi:
Geniş rezeksiyon
Tümör protezi ile rekonstrüksiyon
Sonuç:
Ameliyat başarılı, kalça fonksiyonu korundu, yakın takip planlandı.
Görsel Açıklamaları
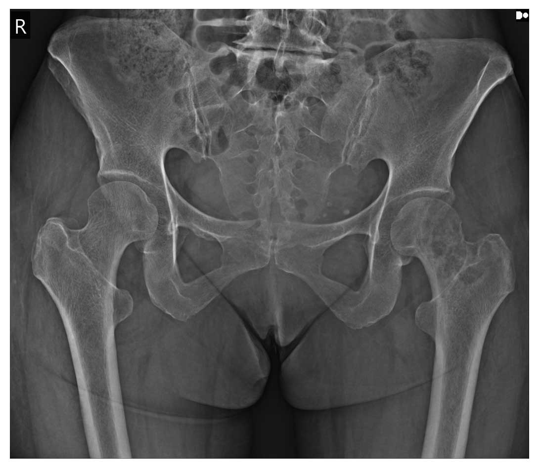
Ameliyat Öncesi: Röntgende sol femur boyun yerleşimli düzensiz litik lezyon görülmekte.

Ameliyat Öncesi: MR’da femur boynunu dolduran düzensiz ve yoğun kontrast tutup çevresel ödeme neden olan tümör dokusu görülmekte.

Ameliyat Esnası: Çıkarılan tümör dokusunun klinik ve skopi görüntüsü.
Ameliyat Esnası: Rezeksiyon sonrası uygulanan tümör protezinin prolen mesh ile çevre yumuşak dokulara stüre edilmesi.

Ameliyat Sonrası: Röntgende rezeksiyon sonrası uygulanan tümör protezi görülmekte.


