Vaka 06: Korokoid Yerleşimli Kondrosarkom
- Gösterim: 161
ChatGPT:
Detaylı Hasta Bilgileri ve Tedavi Süreci
Hasta Bilgileri:
Genç erkek hasta, omuz ön bölümünde uzun süredir devam eden ağrı ve hareket kısıtlılığı şikayetleri ile başvurmuş; yapılan görüntüleme ve biyopsi sonucunda korokoid yerleşimli kondrosarkom tanısı doğrulanmıştır.
Uygulanan Tedavi:
Tümörün anatomik konumu nedeniyle cerrahi alana güvenli erişim sağlamak için klavikula osteotomisi yapılmış; ardından korokoid çıkıntı tümüyle sağlam cerrahi sınırlarla çıkarılmış (korokoidektomi). Ameliyat sonrası omuz stabilitesi korunacak şekilde dokular dikkatle onarılmıştır.
Sonuç:
Ameliyat sırasında ve sonrasında herhangi bir komplikasyon gelişmeyen hasta sorunsuz şekilde mobilize edilerek taburcu edilmiştir. Hasta onkolojik takip ve gerekli adjuvan tedaviler için yönlendirilmiştir.
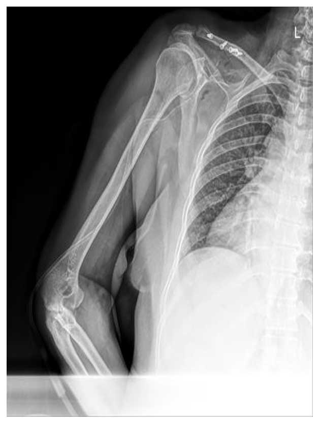
Görsel Açıklamaları
Ameliyat Öncesi: Röntgende korokoid üzerinde düzensizlik, tomografide genişleme, kortekste incelme ve kıkırdak dokusu, MR’da heterojen kitlenin boyutları görülmekte.

Ameliyat Esnası: Klavikula osteotomisi, çıkarılan tümörün klinik ve skopi görüntüsü görülmekte.

Ameliyat Sonrası: Röntgende korokoid eksizyonu yapıldığı, klavikulanın vidalar ile fikse edildiği görülmekte.


