Vaka 16: İliak Kanat (Hemipelvis) Yerleşimli Kondrosarkom
- Gösterim: 96
ChatGPT:
Detaylı Hasta Bilgileri ve Tedavi Süreci
Hasta Bilgileri:
Genç kadın hasta, iliak kanat bölgesinde ağrı ve şişlik şikayeti ile başvurmuştur. Yapılan iğne biyopsisi kondrosarkom tanısı doğrulamış ve taramalarda metastaz saptanmamıştır.
Uygulanan Tedavi:
Hastaya internal hemipelvektomi yapılmış, kalça transpozisyonu ile rekonstrüksiyon gerçekleştirilmiştir.
Sonuç:
Ameliyat esnasında ve sonrasında komplikasyon gelişmemiş, hasta güvenli bir şekilde yürütülerek taburcu edilmiştir.
Görsel Açıklamaları
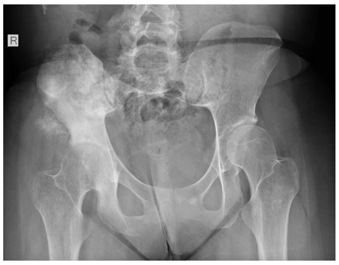
Ameliyat Öncesi: Röntgende sağ iliak kanatta skleroz, düzensizlik ve yumuşak doku içerisinde kitle dokusu görülmekte.
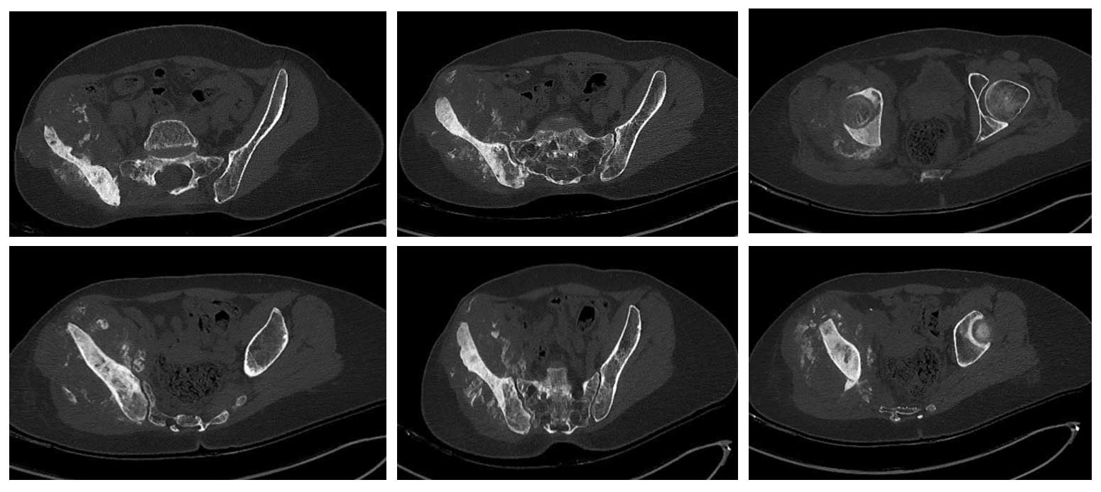
Ameliyat Öncesi: Tomografide sağ iliak kanatın tamamını içeren skleroz ve çevre yumuşak dokuda düzensiz sınırlı kitle görülmekte.

Ameliyat Öncesi: MR’da ek olarak yumuşak doku kitlesinin büyüklüğü, damar sinir paketine yakınlığı ve çevreleyen ödem görülmekte.

Ameliyat Esnası: Tümör çıkarıldıktan sonra oluşan boşluk ve tümör protezinin prolen mesh ile örtülüp sakruma dikilmesi görülmekte.

Ameliyat Esnası: Çıkarılan tümör dokusunun klinik görüntüsü görülmekte.

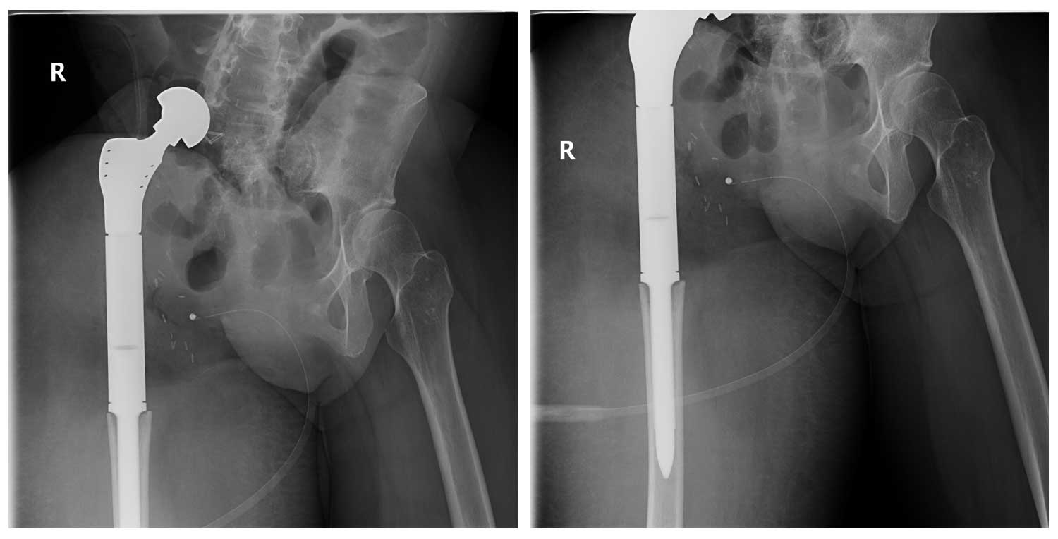
Ameliyat Sonrası: Röntgende internal hemipelvektomi sonrası proksimal femur tümör protezi ile kalça transpozisyonu uygulanımı görülmekte.


