Vaka 05: Omuz Bölgesinde Yerleşen Kemik Dışı Kondrosarkom
- Gösterim: 164
ChatGPT:
Detaylı Hasta Bilgileri ve Tedavi Süreci
Hasta Bilgileri:
Genç erkek hasta, omuz bölgesinde giderek büyüyen kitle ve hareket kısıtlılığı şikayetleri ile başvurmuş; yapılan biyopsi sonucunda ekstraskeletal kondrosarkom tanısı doğrulanmıştır.
Uygulanan Tedavi:
Hastaya tümörlü dokunun sağlam cerrahi sınırlarla çıkarıldığı geniş rezeksiyon uygulanmış; omuz fonksiyonlarını koruyabilmek için bölgeye uygun yumuşak doku rekonstrüksiyonu gerçekleştirilmiştir.
Sonuç:
Ameliyat sırasında ve sonrasında herhangi bir komplikasyon gelişmeyen hasta güvenle mobilize edilerek taburcu edilmiştir. Hasta ameliyat sonrası onkolojik tedavi ve takip programına yönlendirilmiştir.
Görsel Açıklamaları
Ameliyat Öncesi: Omuz yerleşimli düzensiz sınırlı heterojen yumuşak doku tümörü görülmekte.

Ameliyat Esnası: Biyopsi traktını eksize edecek şekilde yapılan insizyon planlaması ve tümör çıkarıldıktan sonra oluşan boşluk görülmekte.

Ameliyat Esnası: Çıkarılan tümör dokusunun skopi ve klinik görüntüsü.

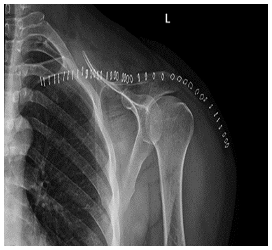
Ameliyat Sonrası: Röntgende kısmi klavikula, corocoid ve acromion eksizyonu yapıldığı görülmekte.


