Vaka 19: Sağ Leğen Kemiği (İliak Kanat) Yerleşimli Kondrosarkom
- Gösterim: 120
ChatGPT:
Detaylı Hasta Bilgileri ve Tedavi Süreci
Hasta Bilgileri:
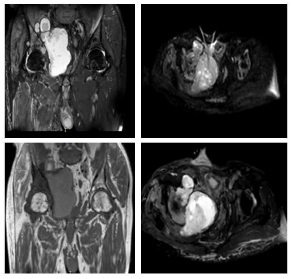
84 yaş erkek hasta, 7 aydır mevcut sağ kasık ve kalça ağrısı ile başvurmuş, yürümekte güçlük çekmektedir. İğne biyopsisinde kondrosarkom tanısı doğrulanmış ve taramalarda metastaz saptanmamıştır.
Uygulanan Tedavi:
Hastaya internal hemipelvektomi yapılmış, rekonstrüksiyon uygulanmamıştır.
Sonuç:
Ameliyat sonrası komplikasyon gözlenmemiş, hasta yakın takip ile taburcu edilmiştir.
Görsel Açıklamaları
Ameliyat Öncesi: MR’da kemik harabiyetine eşlik eden büyük tümör dokusu görülmekte.
Ameliyat Öncesi: MR’da kemik harabiyetine eşlik eden büyük tümör dokusu görülmekte.

Ameliyat Esnası: Skopide osteotom ile kesim seviyesinin planlanması ve rezeksiyon sonrası görülmekte.

Ameliyat Esnası: Çıkarılan tümör dokusunun klinik ve skopi görüntüsü.


