Vaka 12: Sakroiliak Yerleşimli Kondrosarkom
- Gösterim: 148
ChatGPT:
Detaylı Hasta Bilgileri ve Tedavi Süreci
Hasta Bilgileri:
46 yaş erkek hasta, 5 aydır mevcut bel bölgesinde ağrı ve şişlik, uzun süre oturma güçlüğü ile başvurmuştur. Tomografi altında iğne biyopsisi sonucu kondrosarkom saptanmış, taramalarda metastaz görülmemiştir.
Uygulanan Tedavi:
Hastaya sakroiliak bölgedeki tümör temiz sınırlar ile çıkarılmış (Sakroiliak rezeksiyon), rod ve vidalar ile fiksasyon yapılmıştır.
Sonuç:
Ameliyat esnasında ve sonrasında komplikasyon gelişmemiş, hasta güvenle takip altına alınmıştır.
Görsel Açıklamaları
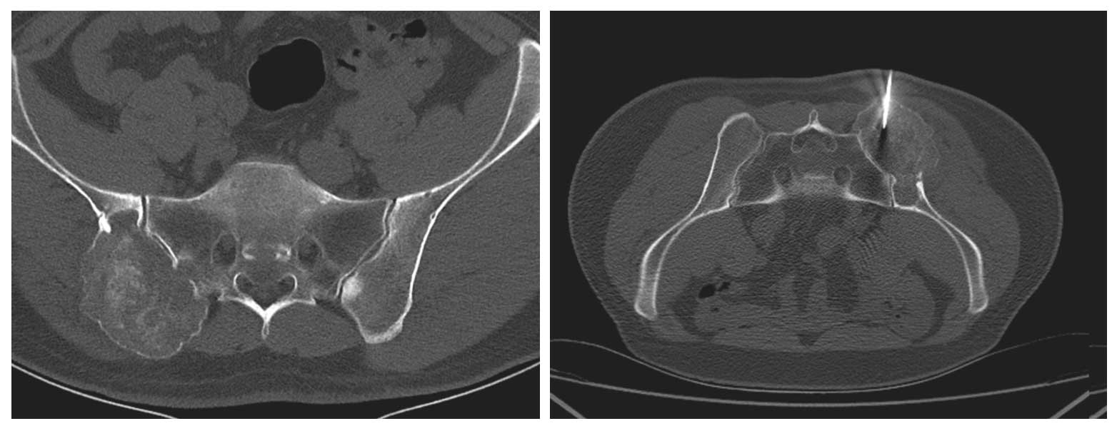
Ameliyat Öncesi: Tomografide sağ iliak kanat ve sakrum yerleşimli kemikte harabiyete neden olan tümör dokusu ve biyopsi iğnesi görülmekte.
Ameliyat Öncesi: MR’da aynı lokalizasyonda düzensiz sınırlı, yumuşak dokuya uzanım gösteren tümör dokusu görülmekte.

Ameliyat Esnası: İnsizyon hattının planlanması.

Ameliyat Esnası: Çıkarılan tümör dokusunun klinik ve radyolojik görüntüsü.

Ameliyat Esnası: Lomber ve sakral köklerin korunması ve tümör çıkarıldıktan sonra yapılan rekonstrüksiyon.

Ameliyat Sonrası: Sakroiliak rezeksiyon sonrası rod ve vidalar ile yapılan fiksasyon görülmekte.


