Vaka 15: Sağ Hemipelvis (İliak Kanat-Leğen Kemiği) Yerleşimli Kondrosarkom
- Gösterim: 98
ChatGPT:
Detaylı Hasta Bilgileri ve Tedavi Süreci
Hasta Bilgileri:
58 yaş erkek hasta, 7 aydır mevcut sağ kalça ağrısı ile başvurmuş, ağrı zamanla artmış ve yürümekte güçlük çekmekteydi. İğne biyopsisi sonucu kondrosarkom tanısı konmuş, taramalarda metastaz saptanmamıştır.
Uygulanan Tedavi:
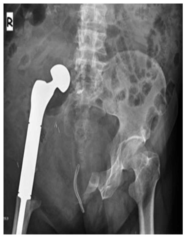
Hastaya internal hemipelvektomi yapılmış, proksimal femur tümör protezi ile kalça transpozisyonu gerçekleştirilmiştir.
Sonuç:
Ameliyat sırasında ve sonrasında komplikasyon gelişmemiş, hasta güvenle yürütülmüş ve yakın takip ile taburcu edilmiştir.
Görsel Açıklamaları
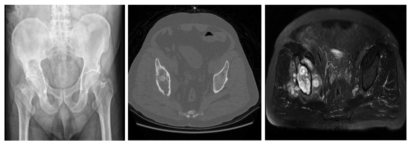
Ameliyat Öncesi: Röntgende iliak kanatta yeniklik, tomografide kemik harabiyeti, MR’da ise yumuşak dokuya uzanan tümör dokusu görülmekte.
Ameliyat Esnası: Çıkarılan tümör dokusunun klinik ve skopi görüntüsü.

Ameliyat Sonrası: Hemipelvektomi sonrası proksimal femur kalça protezi ile kalça transpozisyonu görülmekte.


