Vaka 08: Kol (Humerus) Yerleşimli Kondrosarkom
- Gösterim: 152
ChatGPT:
Detaylı Hasta Bilgileri ve Tedavi Süreci
Hasta Bilgileri:
Genç erkek hasta, kolunda uzun süredir devam eden ağrı ve kitle şikayeti ile başvurmuş; yapılan görüntüleme ve biyopsi sonucunda osteokondrom zemininde kondrosarkom tanısı doğrulanmıştır.
Uygulanan Tedavi:
Hastaya humerus tümörlü bölgesinin geniş rezeksiyonu (tumör temizliği) uygulanmış, ardından vaskülerize fibula kullanılarak humerusun fonksiyonel ve yapısal bütünlüğü rekonstrükte edilmiştir.
Sonuç:
Ameliyat sırasında ve sonrasında komplikasyon gelişmemiş, hasta güvenle mobilize edilerek taburcu edilmiş ve düzenli onkolojik ve ortopedik takip planlanmıştır.
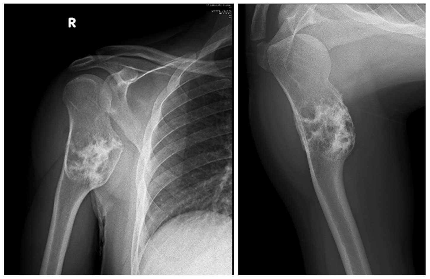
Görsel Açıklamaları
Ameliyat Öncesi: Röntgende Proksimal Humerus’ta kemikte ekspansiyona enden olan düzensiz kitle görünmekte.

Ameliyat Öncesi: MR’da kitlenin vasküler yapılara yakınlığı görülmekte.

Ameliyat Esnası: Çıkarılan tümör dokusunun klinik ve radyolojik görüntüsü.

Ameliyat Esnası: Hazırlanan vaskülerize fibula ve anastomoz yapılacak aksiller arter ve ven görüntüsü.


