Vaka 01: Kürek Kemiği (Skapula) Yerleşimli Kondrosarkom
- Gösterim: 354
ChatGPT:
Detaylı Hasta Bilgileri ve Tedavi Süreci
Hasta Bilgileri:
-
Genç kadın hasta
-
Multipl osteokondromatozis tanısı mevcut
-
Skapulada kitle nedeniyle ağrı ve hareket kısıtlılığı şikayeti
-
Görüntüleme ve biyopsi sonucunda kondrosarkom tanısı doğrulanmış
Uygulanan Tedavi:
-
Skapulada yerleşen kondrosarkomun çıkarılması için skapulektomi işlemi uygulandı
-
Tümörlü dokular geniş cerrahi sınırlarla temizlendi
-
İşlem onkolojik prensiplere uygun şekilde başarıyla tamamlandı
Sonuç:
Ameliyat sonrası dönemde hastada komplikasyon gelişmedi. Fonksiyon korunumu için rehabilitasyon programına alındı ve onkoloji birimi tarafından yakın takip planlandı.
Görsel Açıklamaları
Ameliyat Öncesi: Röntgende skapula kaynaklı dev boyutlu düzensiz sınırlı kıkırdak doku içeren kitle görünmekte.

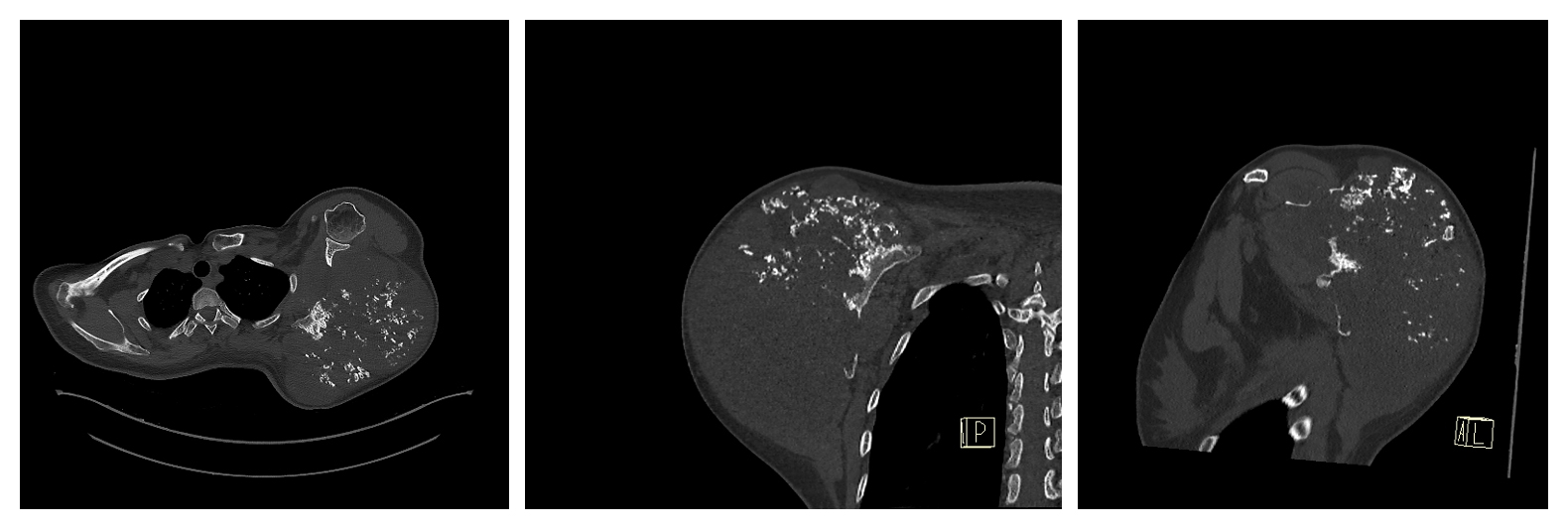
Ameliyat Öncesi: Tomografide skapulada destrüksiyon görünmekte.

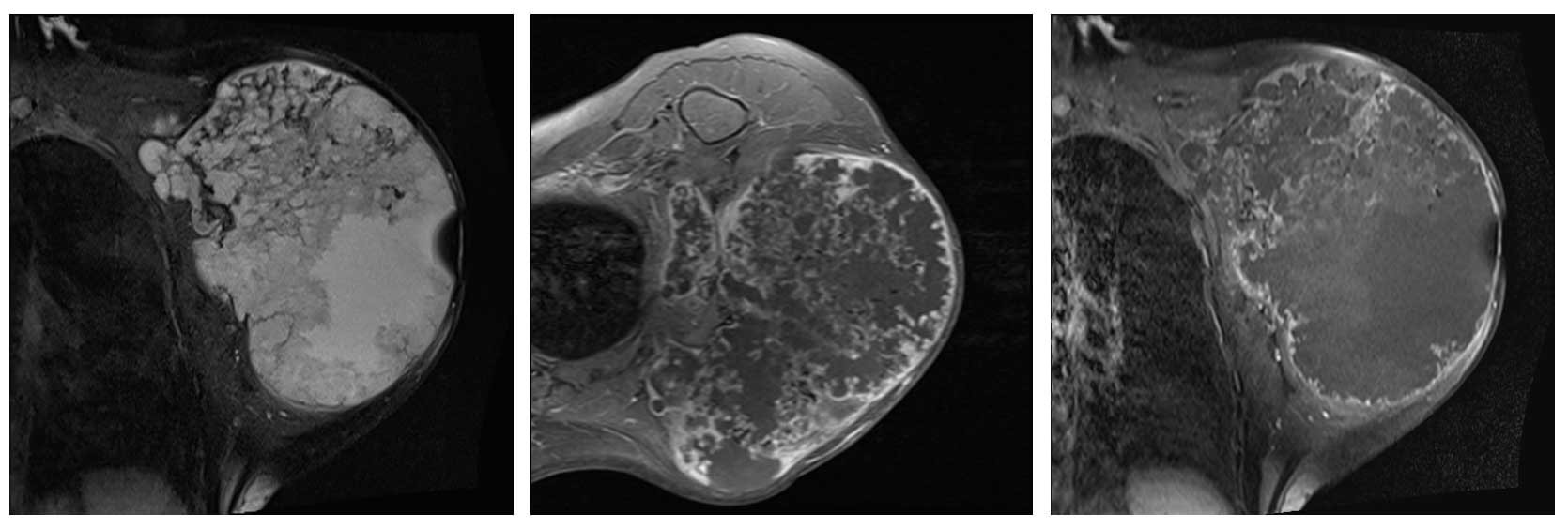
Ameliyat Öncesi: MR’da tümörün heterojen olup nekroz alanları içerdiği görünmekte.

Ameliyat Esnası: Kitlenin klinik görüntüsü.

Ameliyat Esnası: Çıkarılan tümör dokusunun klinik ve skopi görüntüsü.

Ameliyat Sonrası: Röntgende glenoid eklem yüzü hariç totale yakın skapulektomi uygulandığı görünmekte.

Ameliyat Sonrası: Tomografide rezeksiyon sınırı ve kalan glenoid eklem yüzü görünmekte.


