Vaka 13: Sağ İliak Kanat Yerleşimli Kondrosarkom
- Gösterim: 86
ChatGPT:
Detaylı Hasta Bilgileri ve Tedavi Süreci
Hasta Bilgileri:
34 yaş kadın hasta, sağ kalça bölgesinde şişlik ve ağrı, sağ ayakta uyuşma ve yürüme güçlüğü ile başvurmuştur. Bilinen osteokondrom öyküsü mevcuttur. İğne biyopsisinde kondrosarkom tanısı konulmuş, taramalarda metastaz saptanmamıştır.
Uygulanan Tedavi:
Hastaya internal hemipelvektomi uygulanmış ve sakroiliak fiksasyon ile kalça stabilitesi sağlanmıştır.
Sonuç:
Ameliyat sırasında ve sonrasında komplikasyon gelişmemiş, hasta güvenle yürütülerek takip altına alınmıştır.
Görsel Açıklamaları
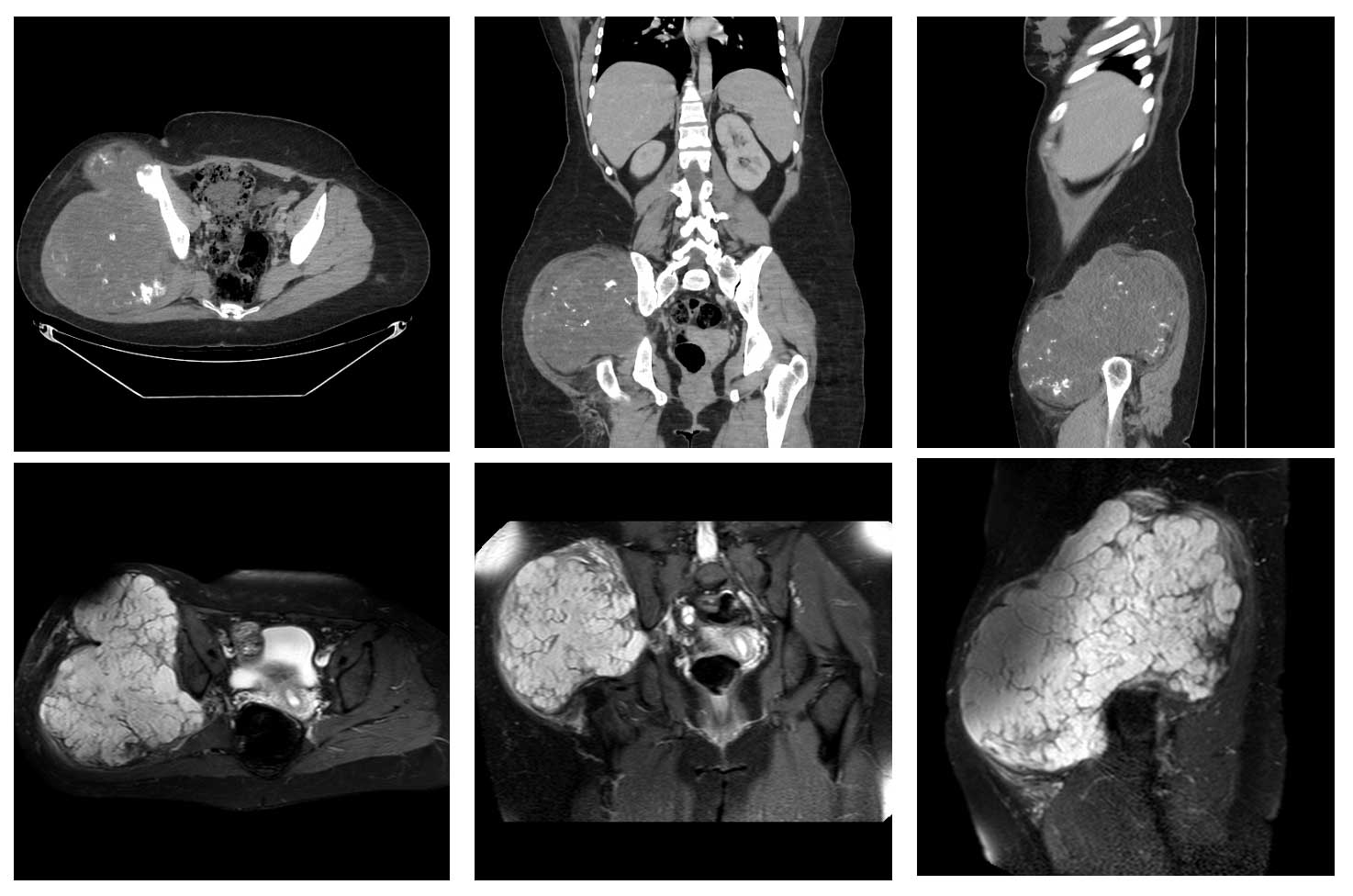
Ameliyat Öncesi: Röntgende sağ iliak kanat dış kısımda yumuşak dokuya uzanım gösteren düzensiz kalsifikasyonlar içeren kitle lezyonu görülmekte.
Ameliyat Öncesi: Tomografide MR’da büyük tümör dokusu görülmekte.

Ameliyat Esnası: İnsizyon hattının belirlenmesi görülmekte.

Ameliyat Esnası: Tümör çıkarıldıktan sonra rekonstrüksiyon işlemi görülmekte.

Ameliyat Esnası: Çıkarılan tümör dokusunun klinik ve radyolojik görüntüsü.
Ameliyat Sonrası: Yara iyileşmesi görülmekte.

Ameliyat Sonrası: Röntgen ve tomografide internal hemipelvektomi sonrası rekonstrüksiyon işlemi görülmekte.


