Vaka 25: Pubik Kol ve Asetabulum Kaynaklı Kondrosarkom
- Gösterim: 98
ChatGPT:
Detaylı Hasta Bilgileri ve Tedavi Süreci
Hasta Bilgileri
-
45 yaş kadın
-
Sol kasık bölgesinde ağrı, şişlik ve yürüme güçlüğü şikayetleri
-
Bilinen çoklu osteokondrom öyküsü mevcut
-
Kapalı iğne biyopsisi sonucu: Kondrosarkom
-
Tarama görüntülemelerinde metastaz saptanmadı
Uygulanan Tedavi
Hastaya internal hemipelvektomi (Tip III + kısmi Tip II) uygulandı. Rezeksiyon sonrası defekt total kalça protezi ile rekonstrükte edildi.
Sonuç
Cerrahi sonrası bölgesel tümör yükü tamamen çıkarıldı, stabil bir kalça yapısı oluşturuldu ve hastanın mobilitesi kontrollü şekilde yeniden kazandırıldı.
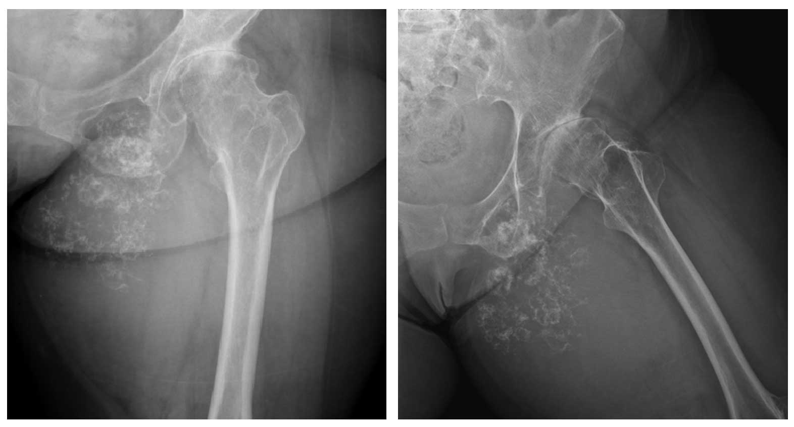
Görsel Açıklamaları
Ameliyat Öncesi: Röntgende inferior pubik kol ve astebulum alt yüzeyinden kaynaklı düzensiz kalsifikasyon içeren kitle, kalçada kireçlenme mevcutç
Ameliyat Öncesi: Tomografi ve MR’da pubik kol ve asetabulum inferior kaynaklı düzensiz sınırlı kalsifikasyon içeren büyük boyutlu kitle dokusu görülmekte.

Ameliyat Esnası: Rezeksiyon sonrası damar sinir eklem kontrolü ve prolen mesh ile yumuşak doku örtümü.

Ameliyat Esnası: Çıkarılan tümör dokusunun klinik ve skopi görüntüsü.

Ameliyat Sonrası: Röntgende rezeksiyon sonrası total kalça uygulanımı görülmekte.


