Vaka 03: Kürek Kemiği (Skapula) Yerleşimli Kondrosarkom
- Gösterim: 351
ChatGPT:
Detaylı Hasta Bilgileri ve Tedavi Süreci
Hasta Bilgileri:
Erişkin erkek hasta; skapulada kitle nedeniyle değerlendirilmiş, biyopsi sonucunda kondrosarkom tanısı konmuş; omuz ağrısı ve hareket kısıtlılığı şikayetleri ile başvurmuştur. Genel durumu cerrahi işleme uygun bulunmuştur.
Uygulanan Tedavi:
Geniş rezeksiyon (ekstraartiküler omuz rezeksiyonu) ile tümörlü alan güvenli sınırlar ile çıkarılmış; proksimal humerus bölgesi modüler tümör protezi ile yeniden yapılandırılmış; Tikhoff–Linberg prosedürü uygulanmış ve yumuşak doku rekonstrüksiyonu tamamlanmıştır.
Sonuç:
Ameliyat başarılı şekilde tamamlanmış, cerrahi sırasında ve sonrasında komplikasyon gelişmemiş; hasta erken dönemde güvenle mobilize edilmiş ve düzenli onkolojik takibe yönlendirilmiştir.
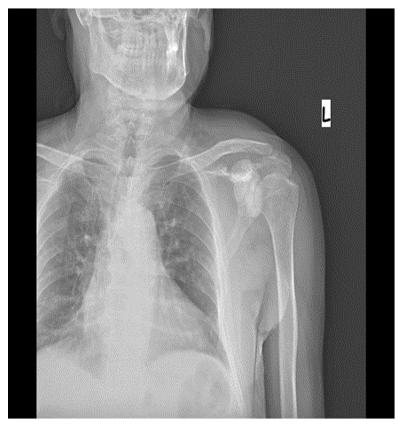
Görsel Açıklamaları
Ameliyat Öncesi: Röntgende sol skapulada düzensizlik ve skleroz görülmekte.

Ameliyat Esnası: Biyopsi traktını eksize edecek şekilde insizyon hattının planlanması.

Ameliyat Esnası: Rezeksiyon sonrası oluşan boşluk, aksiller sinir ve yapılan rekonstrüksiyon.

Ameliyat Esnası: Çıkarılan tümör dokusunun klinik ve skopi görüntüsü.

Ameliyat Sonrası: Röntgende rezeksiyon sonrası proksimal humerus tümör protezi ile yapılan rekonstrüksiyon.


