Vaka 18: İliak Kanat Yerleşimli Kondrosarkom
- Gösterim: 109
ChatGPT:
Detaylı Hasta Bilgileri ve Tedavi Süreci
Hasta Bilgileri:
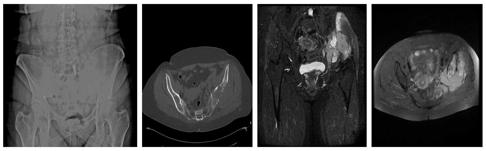
45 yaş kadın hasta, sol kalça ağrısı ve yürüme güçlüğü şikayeti ile başvurmuştur. Radyolojik tetkiklerde kitle saptanmış ve iğne biyopsisinde kondrosarkom tanısı doğrulanmıştır. Metastaz taramaları negatif bulunmuştur.
Uygulanan Tedavi:
Hastaya internal hemipelvektomi yapılmış ve kalça transpozisyonu gerçekleştirilmiştir.
Sonuç:
Ameliyat sonrası komplikasyon gelişmemiş, hasta güvenli bir şekilde yürütülerek taburcu edilmiştir.
Görsel Açıklamaları
Ameliyat Öncesi: Röntgende düzensizlik, tomografide kemik harabiyeti, MR’da yumuşak doku komponenti görülmekte.
Ameliyat Esnası: Rezeksiyon sonrası tümör protezi uygulanımı ve prolen mesh ile stüre edilmesi görülmekte.

Ameliyat Sonrası: Röntgende internal hemipelvektomi sonrası protez ile kalça transpozisyonu görülmekte.


