Vaka 14: İliak Kanat Posterior Yerleşimli Kondrosarkom
- Gösterim: 107
ChatGPT:
Detaylı Hasta Bilgileri ve Tedavi Süreci
Hasta Bilgileri:
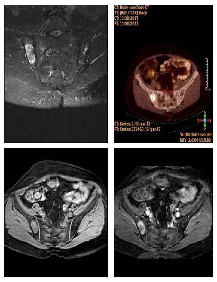
47 yaş kadın hasta, rahim ağzı kanseri nedeniyle ameliyat ve radyoterapi öyküsü mevcut. Hasta sağ kalça arkasında ağrı şikayeti ile başvurmuştur. Radyolojik tetkiklerde iliak kanat posteriorunda kitle saptanmış, kapalı iğne biyopsisinde kondrosarkom tanısı konmuştur. Taramalarda metastaz bulunmamaktadır.
Uygulanan Tedavi:
Hastaya geniş rezeksiyon (Tip I hemipelvektomi) uygulanmış, ardından fibula grefti ve rod/vida ile rekonstrüksiyon yapılmıştır.
Sonuç:
Ameliyat sırasında ve sonrasında komplikasyon gelişmemiş, hasta güvenle yürütülerek takip altına alınmıştır.
Görsel Açıklamaları
Ameliyat Öncesi: MR’da iliak kanat posterior yerleşimli kontrast tutan heterojen kitle, PET-CT’de yoğun tutulum görülmekte.
Ameliyat Esnası: Hemipelvektomi işlemi ve sonrasında yapılan rekonstrüksiyon görülmekte.

Ameliyat Esnası: Çıkarılan rezeksiyon dokusunun klinik ve radyolojik görüntüsü.

Ameliyat Sonrası: Röntgende Tip-I hemipelvektomi sonrası fibula ve rod/vida ile rekonstrüksiyon işlemi görülmekte.


