Vaka 22: Asetabulum Yerleşimli Nüks Kondrosarkom
- Gösterim: 77
ChatGPT:
Detaylı Hasta Bilgileri ve Tedavi Süreci
Hasta Bilgileri:
13 yaş erkek hasta.
Daha önce pubik kol yerleşimli kondrosarkom nedeniyle ameliyat edilmiş.
Kalça eklemine komşu seviyeden nüks gelişmesi üzerine tarafımıza başvurmuştur.
Uygulanan Tedavi:
Hastaya nüks tümör nedeniyle internal hemipelvektomi (Tip III) uygulanmış; sonrasında Lumic protez ile rekonstrüksiyon gerçekleştirilmiştir.
Sonuç:
Ameliyat esnasında ve sonrasında sorun gelişmeyen hasta yakın takip ile izlenmektedir.
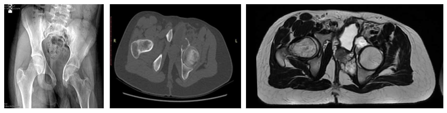
Görsel Açıklamaları
Ameliyat Öncesi: Röntgende uygulanmış rezeksiyon, tomografide asetabulum ön kısımda düzensizlik ve yeniklik, MR’da yumuşak doku kitlesi görülmekte.
Ameliyat Esnası: Çıkarılan tümör dokusunun klinik ve skopi görüntüsü.

Ameliyat Esnası: Çıkarılan rezeksiyon dokusu ve protez uygulanımı görülmekte.

Ameliyat Sonrası: İnternal hemipelvektomi sonrası Lumic protez uygulanımı görülmekte.


