Vaka 04: Köprücük Kemiği (Klavikula) Yerleşimli Kondrosarkom
- Gösterim: 459
ChatGPT:
Detaylı Hasta Bilgileri ve Tedavi Süreci
Hasta Bilgileri:
Genç erkek hasta, köprücük kemiği bölgesinde şişlik, ağrı ve hareket kısıtlılığı şikayetleri ile başvurmuş; biyopsi sonucunda kondrosarkom tanısı doğrulanmıştır. Yapılan değerlendirmelerde cerrahi için uygun bulunmuştur.
Uygulanan Tedavi:
Hastaya tümörün yer aldığı köprücük kemiği segmentinin güvenli cerrahi sınırlarla çıkarıldığı parsiyel klavikulektomi uygulanmış; sonrasında omuz bölgesinin bütünlüğünü sağlamak için yumuşak doku rekonstrüksiyonu yapılmıştır.
Sonuç:
Cerrahi işlem sorunsuz şekilde tamamlanmış, ameliyat sırasında ve sonrasında komplikasyon gelişmemiş; hasta güvenli bir şekilde mobilize edilerek taburcu edilmiş ve onkolojik takibe yönlendirilmiştir.
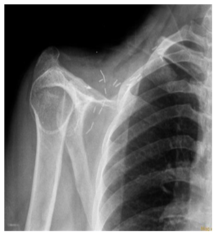
Görsel Açıklamaları
Ameliyat Öncesi: Röntgen ve tomografide klavikula üzerinde düzensiz sınırlı kıkırdak dokusu içeren tümör dokusu görülmekte.

Ameliyat Esnası: Planlama ve çıkarılan tümör dokusunun klinik görüntüsü görülmekte.

Ameliyat Sonrası: Röntgende parsiyel klavikulektomi sonrası oluşan boşluk görülmekte.


