Vaka 17: Hemipelvis Yerleşimli Kondrosarkom
- Gösterim: 102
ChatGPT:
Detaylı Hasta Bilgileri ve Tedavi Süreci
Hasta Bilgileri:
27 yaş erkek hasta, sol kalça ve kasık ağrısı, ayakta uyuşma ve yürüme güçlüğü şikayeti ile başvurmuştur. Kapalı iğne biyopsisi kondrosarkom tanısı doğrulamış ve taramalarda metastaz saptanmamıştır.
Uygulanan Tedavi:
Hastaya internal hemipelvektomi yapılmış, proksimal femur tümör protezi ile kalça transpozisyonu gerçekleştirilmiştir.
Sonuç:
Ameliyat esnasında ve sonrasında komplikasyon gelişmemiş, hasta güvenli bir şekilde yürütülerek taburcu edilmiştir.
Görsel Açıklamaları
Ameliyat Öncesi: Röntgen ve 3BT’de sol asetabulum ve pubik kol kaynaklı obturator foromani ve hemipelvisi dolduran düzensiz sınırlı sklerotik tümör dokusu görülmekte.
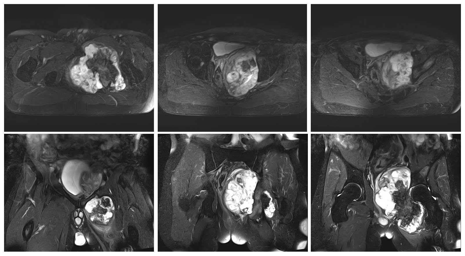
Ameliyat Öncesi: MR’da aynı lokalizasyonda heterojen büyük yumuşak doku komponentinin eşlik ettiği tümör dokusu görülmekte.

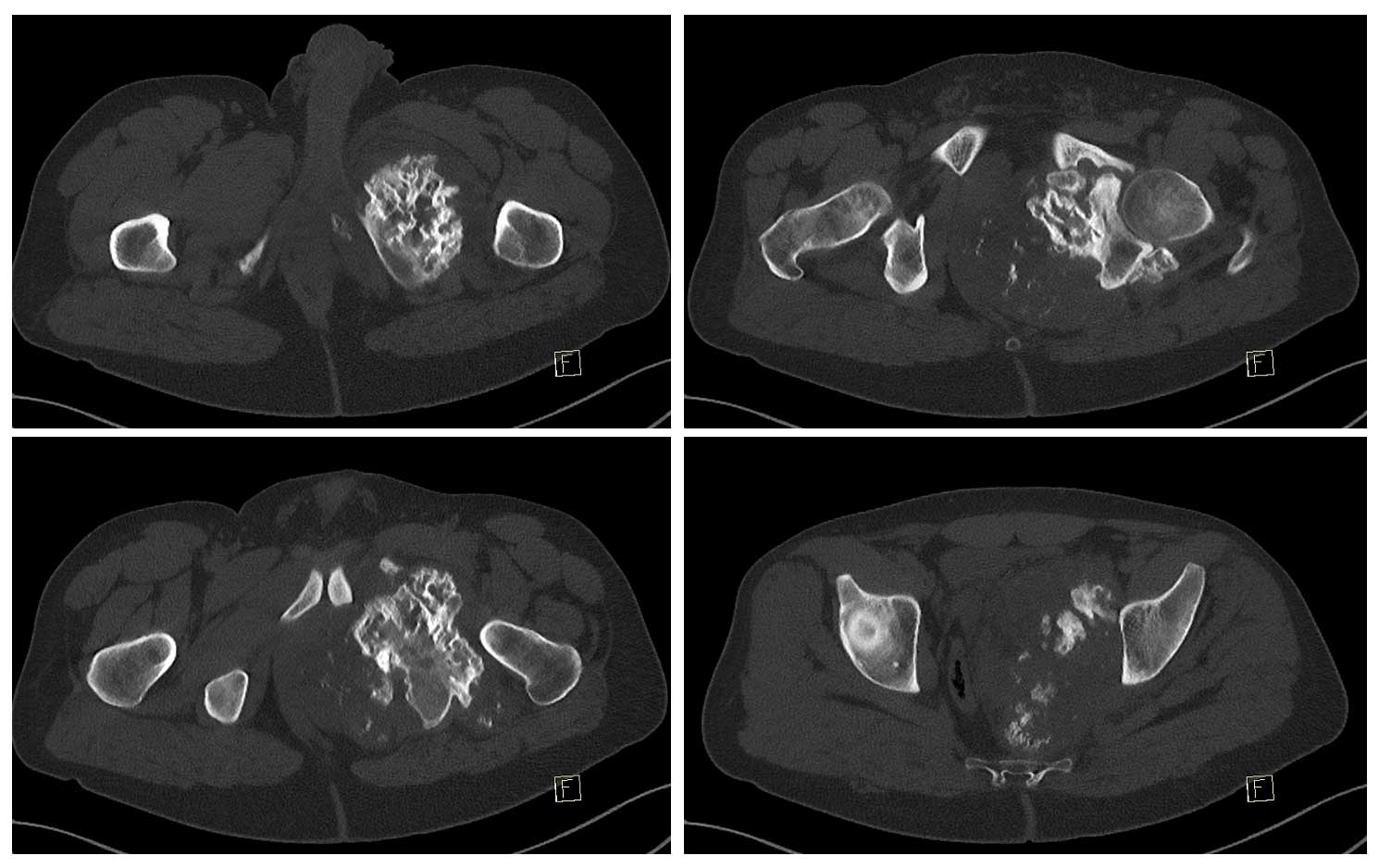
Ameliyat Öncesi: Tomografide kemik yüzeyde harabiyete neden olan kalsifikasyon içeren düzensiz sınırlı kitle görüntüsü görülmekte.

Ameliyat Esnası: Sakral laminektomi sonrası köklerin ortaya konulup korunması.

Ameliyat Esnası: Çıkarılan tümör dokusunun skopi ve klinik görüntüsü.

Ameliyat Sonrası: İyileşmiş insizyon hatları görülmekte.

Ameliyat Sonrası: Röntgende internal hemipelvektomi sonrası proksimal femur tümör protezi ile kalça transpozisyon işlemi görülmekte.


