Vaka 07: Kol (Humerus) Yerleşimli Kondrosarkom
- Gösterim: 251
ChatGPT:
Detaylı Hasta Bilgileri ve Tedavi Süreci
Hasta Bilgileri:
Genç erkek hasta, sağ/sol kolunda (humerus) uzun süredir devam eden ağrı ve özellikle aktiviteyle artan rahatsızlık şikayetleriyle başvurmuş; yapılan görüntüleme ve biyopsi sonucunda Grade I kondrosarkom tanısı doğrulanmıştır.
Uygulanan Tedavi:
Hastaya tümörlü bölgenin agresif küretaj ile tamamen temizlenmesi ve oluşan boşluğun kemik çimentosu ile doldurulması işlemi uygulanmıştır. Böylece hem tümör yükü azaltılmış hem de humerus yapısal olarak güçlendirilmiştir.
Sonuç:
Ameliyat sırasında ve sonrasında herhangi bir komplikasyon gelişmeyen hasta güvenle mobilize edilerek taburcu edilmiştir. Hasta düzenli görüntüleme ve onkolojik takip programına alınmıştır.
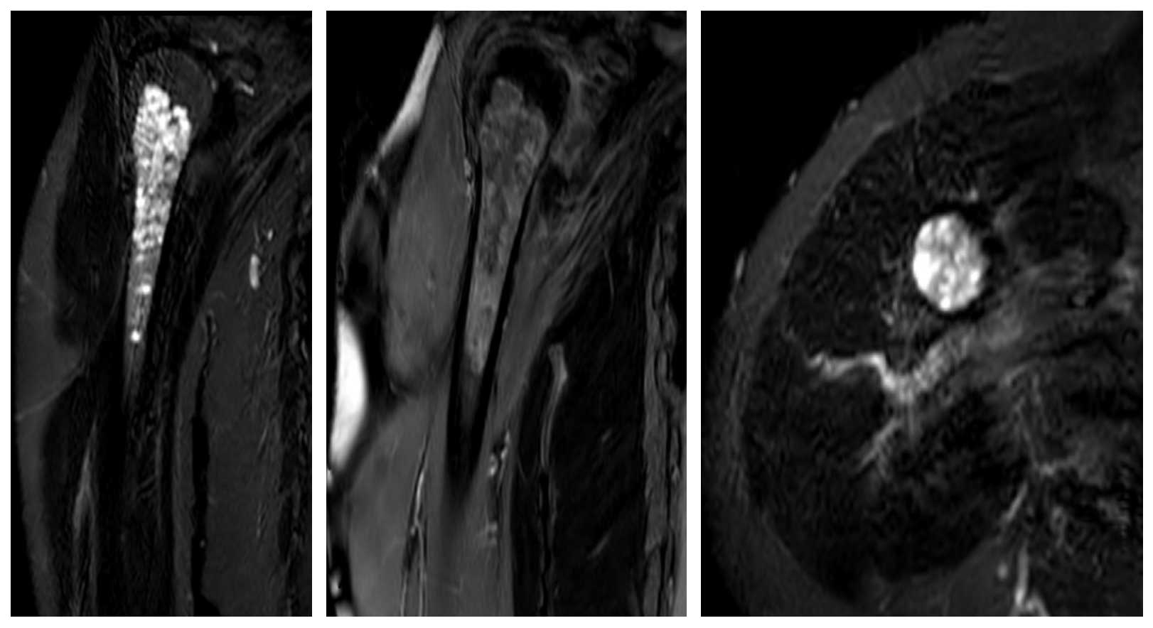
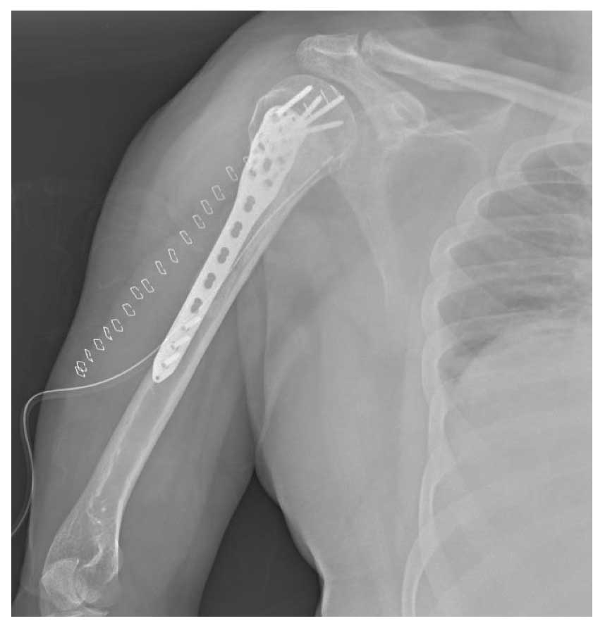
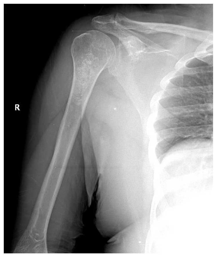
Görsel Açıklamaları
Ameliyat Öncesi: Röntgende Proksimal Humerus’ta düzensiz kalsifikasyonlar içeren tümör dokusu görülmekte.

Ameliyat Öncesi: MR’da uzun segment boyunca kemiğin içini dolduran heterojen kıkırdak tümörü görülmekte.

Ameliyat Esnası: Açılacak kapağın işaretlenmesi ve kapak çıkarıldıktan sonra tümör dokusu görülmekte.

Ameliyat Sonrası: Tümör temizlendikten sonra oluşan boşluğun kemik çimentosu ile doldurulması ve anatomik plak ile güçlendirilmesi görülmekte.


