Vaka 23: Pubik Kol Yerleşimli Kondrosarkom
- Gösterim: 81
ChatGPT:
Detaylı Hasta Bilgileri ve Tedavi Süreci
Hasta Bilgileri:
36 yaş kadın hasta.
8 aydır kasık bölgesinde ağrı ve şişlik hissi mevcuttu.
Kapalı iğne biyopsisinde kondrosarkom tanısı doğrulandı.
Taramalarında metastaz saptanmadı.
Uygulanan Tedavi:
Hastaya internal hemipelvektomi (Tip III) uygulanmış, oluşan defekt prolen mesh kullanılarak yumuşak doku rekonstrüksiyonu ile güçlendirilmiştir.
Sonuç:
Ameliyat esnası ve sonrasında sorun gelişmeyen hasta yakın takip ile izlenmektedir.
Görsel Açıklamaları
Ameliyat Öncesi: Röntgende sol pubik kolda düzensizlik ve sklerotik tümör dokusu görülmekte.
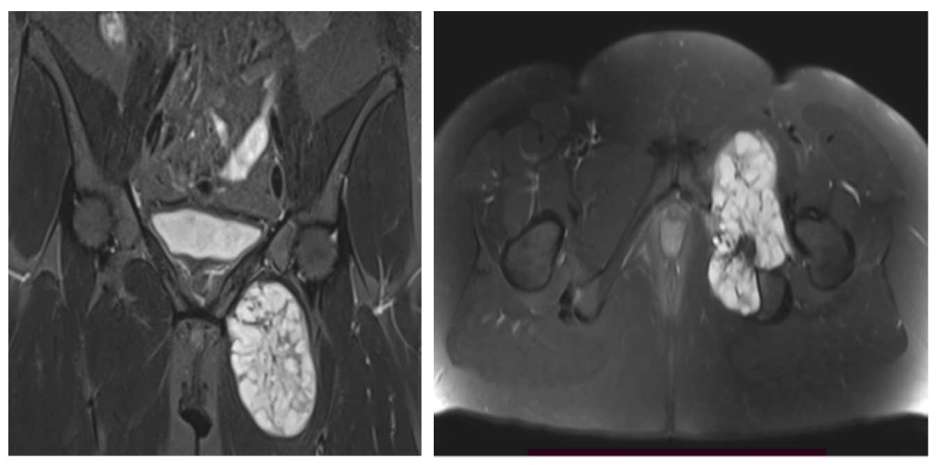
Ameliyat Öncesi: MR’da aynı lokalizasyonda kemikte harabiyete neden olmuş büyükçe tümör dokusu görülmekte.

Ameliyat Esnası: İnsizyon hattının belirlenmesi ve tümör çıkarıldıktan sonra prolen mesh ile kapatılması.

Ameliyat Esnası: Çıkarılan tümörün klinik görüntüsü.

Ameliyat Sonrası: Röntgen ve tomografide rezeksiyon sonrası görülmekte.


