Vaka 10: Kaburga (Kot) Yerleşimli Kondrosarkom
- Gösterim: 353
ChatGPT:
Detaylı Hasta Bilgileri ve Tedavi Süreci
Hasta Bilgileri:
Genç kadın hasta, kaburga bölgesinde ağrı ve şişlik şikayeti ile başvurmuş; yapılan tetkik ve biyopsi sonucu kaburga kondrosarkom tanısı konmuştur.
Uygulanan Tedavi:
Hastaya kaburga yerleşimli kondrosarkom nedeniyle geniş rezeksiyon işlemi başarıyla uygulanmıştır.
Sonuç:
Ameliyat sonrası komplikasyon gelişmemiş, hasta güvenle taburcu edilmiş ve onkolojik takip planlanmıştır.
Görsel Açıklamaları
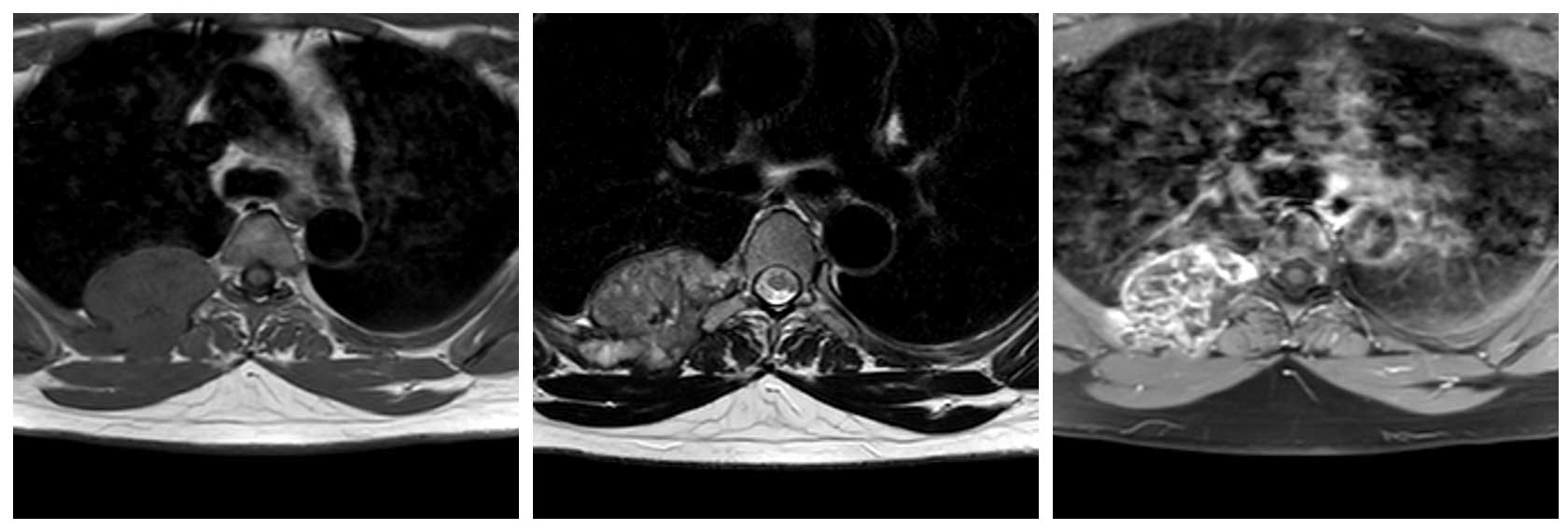
Ameliyat Öncesi: MR’da göğüs kafesi sağ taraf yerleşimli kaburgada yıkıma neden olan heterojen kıkırdak içerikli tümör görülmekte.
Ameliyat Esnası: Çıkarılan tümörün klinik görüntüsü.

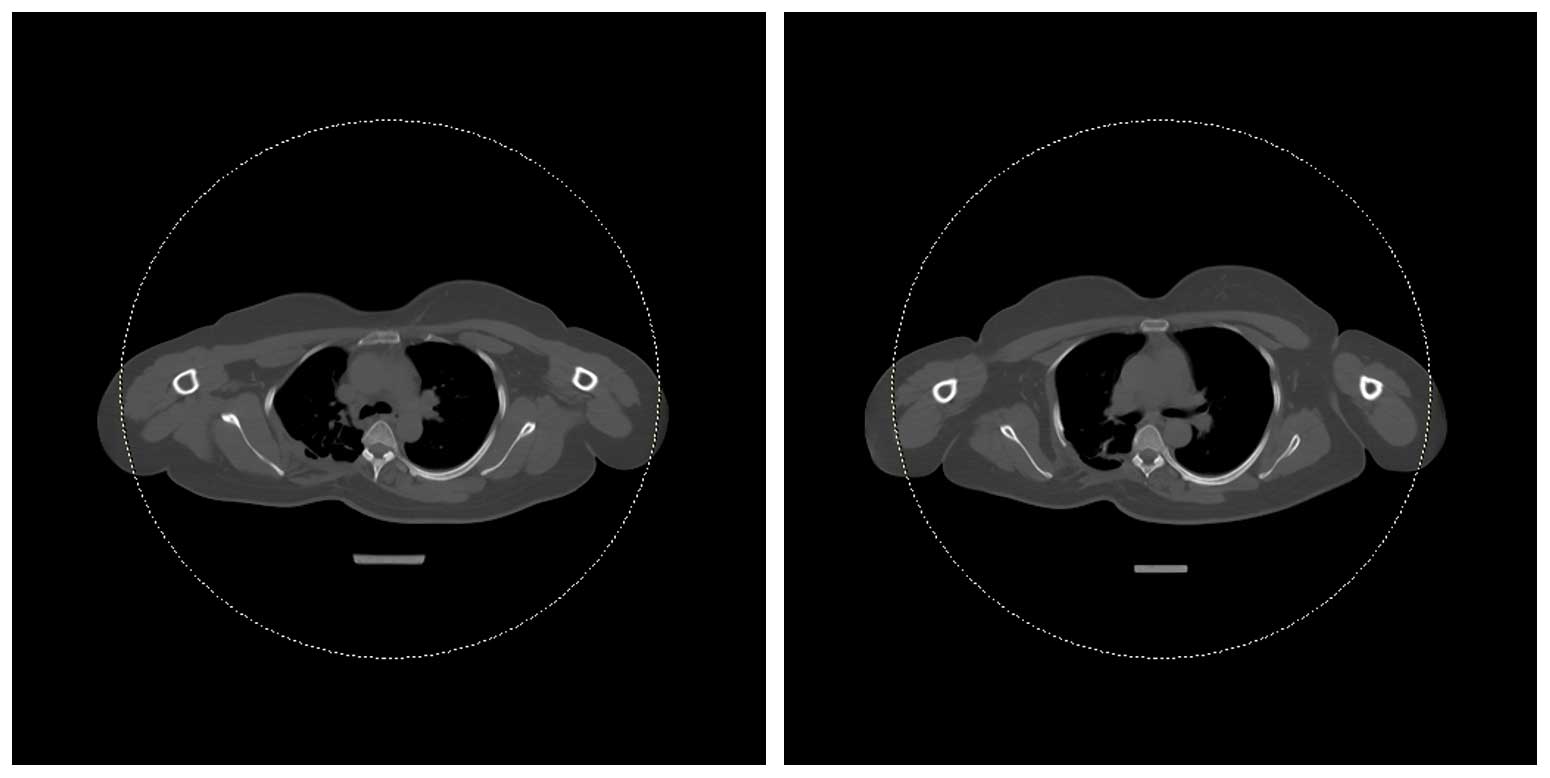
Ameliyat Sonrası: Kontrol tomografi kesitlerinde tümörün tamamen çıkarıldığı görülmekte.


