CASE 10: Osteosarcoma located in the lumbar, sacrum, and iliac wing
- Hits: 36
- 15-year-old girl patient
- A patient who had been experiencing pain and swelling for 8 months was diagnosed with osteosarcoma after a biopsy abroad. Since no metastases were detected in subsequent scans, the patient underwent 3 rounds of chemotherapy.
- Following L5, sacrum, and iliac crest resection, reconstruction was not performed on the patient due to the existing general condition and risk of infection.
- Following wound healing, the patient was referred to a pediatric oncologist for chemotherapy.
Before the surgery: The MRI shows a large tumor tissue that has caused bone destruction affecting the entire 5th lumbar vertebra, sacrum, and iliac crest, and extending into the soft tissue.

Before the surgery: The MRI shows a large tumor tissue that has caused bone destruction affecting the entire 5th lumbar vertebra, sacrum, and iliac crest, and extending into the soft tissue.

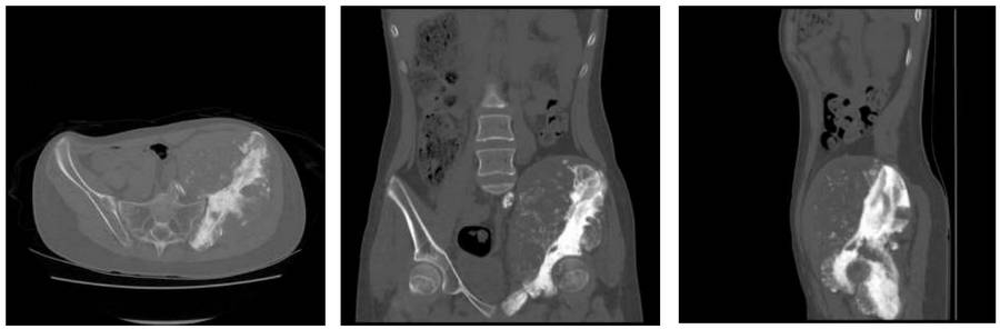
Before the surgery: The CT scan shows a large tumor tissue that has caused bone destruction affecting the entire lumbar 5th vertebra, sacrum, and iliac wing, and extending into the soft tissue.

During the operation: Inclusion of the external iliac vein in the resection and bypass with a graft.

During the operation: Exposure of the dura and roots after lumbosacral laminectomy.

During the operation: Clinical image of the removed tumor tissue.

During the operation: Fluoroscopy image of the removed tumor tissue.

Post-surgery: It is visible on the X-ray after resection.


