CASE 20: Osteosarcoma located in the right hemipelvis (iliac wing-pelvic bone)
- Hits: 58
- 19-year-old female patient
- The right hip pain, which has been present for 4 months, has gradually increased and is waking me up at night.
- Following a needle biopsy diagnosis of osteosarcoma, no metastases were detected in the patient's subsequent scans.
- Following three rounds of chemotherapy, the patient underwent hemipelvectomy, the removed bone was reconstructed using liquid nitrogen and fixed in place with screws/plates, and a partial hip prosthesis was implanted.
Preoperative examination: X-ray shows irregularity and increased density in the right iliac crest.

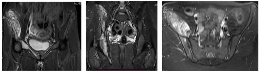
Preoperative: MRI shows tumor tissue extending along the right iliac crest and into the soft tissue.

During the operation: The image shows the bone containing the tumor being separated from the soft tissue and then recovered using liquid nitrogen.

Post-operative: The X-ray shows the reconstruction of the iliac crest after hemipelvectomy using plates/screws, and the implantation of a partial hip prosthesis.


