CASE 12: Posterior Osteosarcoma of the Iliac Wing
- Hits: 43
- 24-year-old male patient
- The patient presented with pain and swelling in the back of the left hip.
- Radiological examinations revealed a mass in the posterior aspect of the left iliac wing causing bone destruction and containing a soft tissue component.
- A patient whose needle biopsy revealed osteosarcoma had no metastases in subsequent scans.
- The patient underwent extensive resection (Type I+IV) following 3 cycles of chemotherapy, followed by fibula reconstruction with rod/screw.
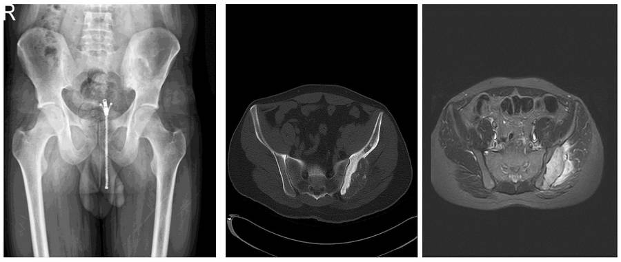
Preoperative examination: X-ray shows irregularity in the posterior aspect of the left iliac wing, CT scan shows bone destruction, and MRI shows an accompanying soft tissue component.

Preoperative: Increased intense activity is seen on PET-CT and scintigraphy.

During the operation: Resection and reconstruction procedures are being performed.

During the operation: Clinical and radiological images of the removed resected tissue.

Postoperative: Fibula and rod/screw reconstruction is seen after internal hemipelvectomy.


