Vaka 2: Akciğer Kanseri Kol Kemiği (Humerus) Metastazına Bağlı Kırık Riski

63 yaşındaki erkek hastada akciğer kanserine bağlı kol kemiği (distal humerus) metastazı saptandı. Radyoterapi sonrası şikayetleri geçmeyen hastaya çimentolu humerus protezi başarıyla uygulandı.

63 yaşındaki erkek hasta, akciğer kanseri nedeniyle aktif tedavi görmekteydi ve bilinen kemik metastazları mevcuttu.

Hastanın sağ kol kemiği (distal humerus) bölgesinde daha önce radyoterapi uygulanmış ancak yeterli sonuç alınamamıştı. Ciddi ağrılar nedeniyle uyku problemi yaşayan hasta, kolunu kullanmakta güçlük çekmekteydi.

Radyolojik değerlendirmeler sonucunda kemiğin tümörlü kısmı çıkarıldı ve çimentolu distal humerus protezi ile bölge yeniden yapılandırılarak stabilizasyon sağlandı.

Ameliyat sonrası herhangi bir komplikasyon gelişmeden hasta sorunsuz şekilde taburcu edildi.

Görsel Açıklamaları

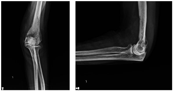
Ameliyat Öncesi: Röntgende humerus alt uçta düzensizlik görülmekte.

Akciğer Kanseri Kol Kemiği Metastazı | Distal Humerus Protez Uygulaması

Ameliyat Öncesi: MR görüntülerinde ciddi kemik harabiyeti ve çevresinde yaygın ödem izlenmekte.

 Akciğer Kanseri Kol Kemiği Metastazı | Distal Humerus Protez Uygulaması

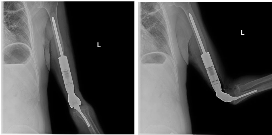
Ameliyat Sonrası: Röntgende çimentolu distal humerus protezi yerleştirilmiş olarak görülmekte.

 Akciğer Kanseri Kol Kemiği Metastazı | Distal Humerus Protez Uygulaması


İletişim Bilgileri

Türkçe, English, Русский, O‘zbekcha

Adres

Teşvikiye Mah. Hakkı Yeten Cad.
Doğu İş Merkezi , No:15 Kat:7
Şişli, İstanbul
34365

Bir "TIK" Yakındayız

Please publish modules in offcanvas position.