VAKA 4: Rahim Ağzı (Serviks) Kanseri Sol Leğen Kemiği (Sakroiliak Eklem) Metastazı

42 yaşındaki kadın hastada, serviks kanseri sonrası gelişen sakroiliak metastaz nedeniyle tümörlü dokular çıkarıldı, damar ve organ onarımı yapıldı ve hasta başarılı bir şekilde tedavi edildi.

  • 42 yaş kadın
  • Serviks kanseri nedeniyle ameliyat olmuş ve medikal tedavi uygulanmış
  • Sol sakroiliak metastaz nedeniyle radyoterapi görmüş fakat yeterli sonuç alınamamış
  • Hasta yürüyemediği için tekerlekli sandalye ile başvurdu ve oturmakta dahi güçlük çekmekteydi
  • Ameliyat esnasında sol bacağı besleyen ana damarların (Eksternal iliak arter ve ven) tıkalı, barsağın (Sigmoid kolon) ve idrar yolunun (Üreter) tümör tarafından açıldığı (invaze olduğu) yoğun enfeksiyon dokusu ile karşılaşıldı
  • Tümör tek parça halinde komşu kemik ve yumuşak dokuları ile birlikte çıkarıldıktan sonra (sakroiliak rezeksiyon) üreter ve sigmoid kolon karın ön duvarından dışarıya alındı (kolostomize edildi). Ardından eksternal iliak arter ve ven tıkalı kısmı çıkarılarak sentetik greft ile yeniden kan akışı sağlandı. Yoğun enfeksiyon nedeniyle debritman ve yıkama yapılan hastaya kemik rekonstrüksiyonu uygulanmadı

Görsel Açıklamaları

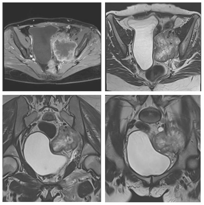
Ameliyat Öncesi: Röntgende sol üreterde katater dışında anlamlı görüntü yok iken, MR’da sol sakroiliak eklem seviyesinde düzensiz sınırlı, içinde gaz gölgesi olan ve mesaneyi iten büyük yumuşak doku kitlesi görülmekte.

Röntgende sol üreterde katater dışında anlamlı görüntü yok iken, MR’da sol sakroiliak eklem seviyesinde düzensiz sınırlı, içinde gaz gölgesi olan ve mesaneyi iten büyük yumuşak doku kitlesi görülmekte.

 

Ameliyat Öncesi: MR’da sol sakroiliak eklem seviyesinde düzensiz sınırlı içinde gaz gölgesi olan ve mesaneyi iten büyük yumuşak doku kitlesi görülmekte

MR’da sol sakroiliak eklem seviyesinde düzensiz sınırlı içinde gaz gölgesi olan ve mesaneyi iten büyük yumuşak doku kitlesi görülmekte

 

Ameliyat Sonrası: Röntgende sol sakroiliak rezeksiyon görülmekte.

Röntgende sol sakroiliak rezeksiyon görülmekte.


İletişim Bilgileri

Türkçe, English, Русский, O‘zbekcha

Adres

Teşvikiye Mah. Hakkı Yeten Cad.
Doğu İş Merkezi , No:15 Kat:7
Şişli, İstanbul
34365

Bir "TIK" Yakındayız

Please publish modules in offcanvas position.