Vaka 8: Akciğer Kanseri Sol Kalça (Proksimal Femur) Metastazı

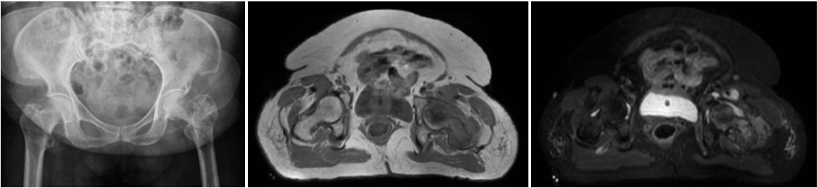
84 yaşındaki kadın hasta, iki aydır süregelen sol kalça ağrısı şikayetiyle başvurdu. Zamanla artan ağrılar istirahatte de devam etmiş, hasta son günlerde aksayarak yürümeye başlamıştı. Daha önce bilinen bir kanser öyküsü bulunmuyordu. Yapılan radyolojik tetkiklerde sol proksimal femurda litik lezyon saptanması üzerine kapalı iğne biyopsisi gerçekleştirildi.

Patoloji sonucunda akciğer kaynaklı metastaz tespit edilen hastaya, kırık riski nedeniyle kemiğin tümörlü kısmı çıkarıldı (rezeksiyon) ve boşluk tümör protezi ile yeniden yapılandırıldı. Ameliyat sonrası birinci günde güvenle yürüyebilen hasta, sorunsuz şekilde taburcu edildi. İkinci haftada dikişleri alınan hasta, onkolojik tedavisinin devamı için medikal ve radyasyon onkolojisine yönlendirildi.

Detaylı Hasta Bilgileri ve Tedavi Süreci

Hasta Bilgileri:

  • Yaş ve Cinsiyet: 84 yaşında kadın hasta
  • Tıbbi Öykü: Bilinen bir kanser geçmişi yok
  • Şikayetler: İki aydır sol kalça ağrısı, istirahatte devam eden ağrı, aksayarak yürüme

Durumun Değerlendirilmesi:

  • Proksimal femurda litik lezyon, kapalı biyopsi sonrası akciğer kanseri metastazı tanısı
  • Kırık riski, ağrı ve fonksiyon kaybı

Uygulanan Tedavi

  • Skopi eşliğinde kapalı iğne biyopsisi
  • Proksimal femur rezeksiyonu
  • Tümör protezi ile yeniden yapılandırma

Tedavi Sonuçları

  • Hasta ameliyat sonrası birinci günde güvenle yürütüldü
  • Sorunsuz şekilde taburcu edildi
  • İkinci haftada dikişler alındı
  • Medikal ve radyasyon onkolojisine yönlendirildi

 

 

Görsel Açıklamaları

Ameliyat Öncesi: Röntgende sol proksimal femurda litik lezyonlar, MR’da ayrıca kemiğin dışına taşmış tümörün yumuşak doku komponenti görülmekte

Ameliyat Öncesi: Röntgende sol proksimal femurda litik lezyonlar, MR’da ayrıca kemiğin dışına taşmış tümörün yumuşak doku komponenti görülmekte

 

Biyopsi: Skopi (seyyar röntgen) eşliğinde kapalı iğne biyopsisi uygulanımı

Biyopsi: Skopi (seyyar röntgen) eşliğinde kapalı iğne biyopsisi uygulanımı

 

Ameliyat sonrası: Röntgende proksimal femur rezeksiyonu ve tümör protezi görülmekte

Ameliyat sonrası: Röntgende proksimal femur rezeksiyonu ve tümör protezi görülmekte

 


İletişim Bilgileri

Türkçe, English, Русский, O‘zbekcha

Adres

Teşvikiye Mah. Hakkı Yeten Cad.
Doğu İş Merkezi , No:15 Kat:7
Şişli, İstanbul
34365

Bir "TIK" Yakındayız

Please publish modules in offcanvas position.