Vaka 01: Köprücük Kemiği (Klavikula) Yerleşimli Ewing Sarkom
- Gösterim: 245
ChatGPT:
Detaylı Hasta Bilgileri ve Tedavi Süreci
Hasta Bilgileri
-
Genç erkek hasta
-
Sağ/sol köprücük kemiği bölgesinde ağrı, şişlik ve hareketle artan hassasiyet şikayeti
-
Yapılan MR, BT ve PET incelemelerinde klavikula yerleşimli lezyon saptandı
-
Kapalı biyopsi sonucu Ewing sarkom ile uyumlu bulundu
Uygulanan Tedavi
-
Öncelikle protokole uygun neoadjuvan kemoterapi uygulandı
-
Tümör yanıtı sonrası geniş rezeksiyon (klavikulektomi) gerçekleştirildi
-
Çevre yumuşak dokular korunarak fonksiyon kaybı minimumda tutulmaya çalışıldı
Sonuç
Ameliyat sorunsuz tamamlandı. Hastaya erken dönemde omuz ve üst ekstremite için kontrollü rehabilitasyon programı başlatıldı. Onkolojik takip ve adjuvan tedavi planı doğrultusunda izleme alındı.
Görsel Açıklamaları
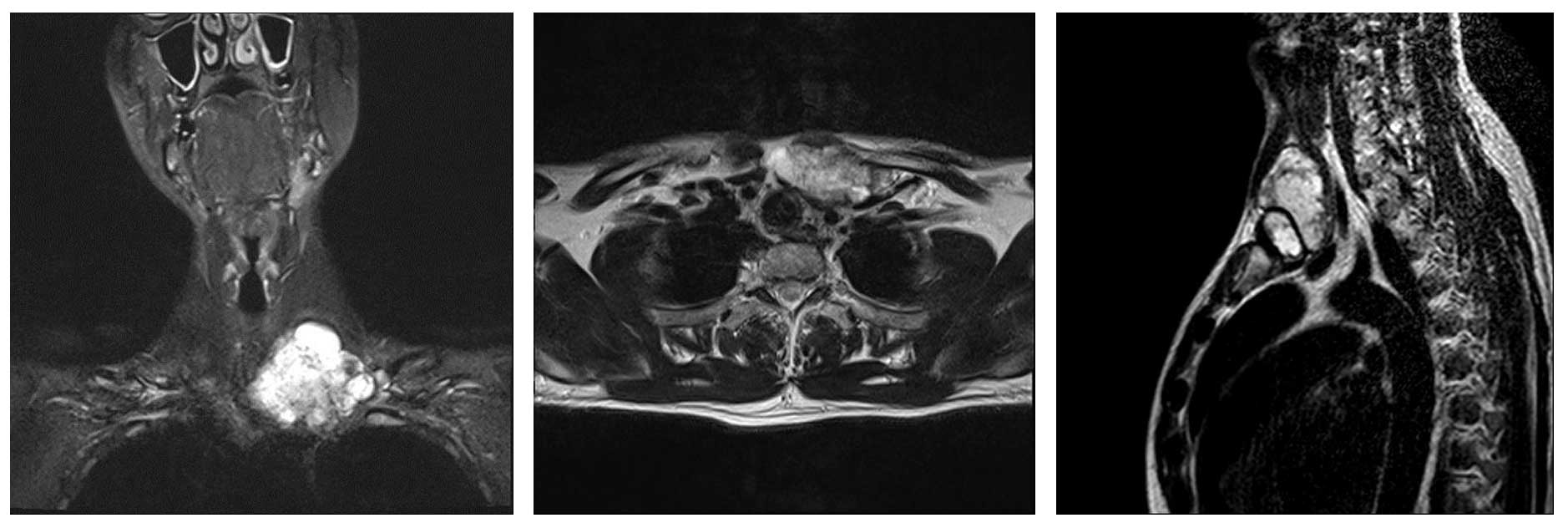
Ameliyat Öncesi: MR’da sol klavikula yerleşimli düzensiz sınırlı heterojen yumuşak doku kitlesi görülmekte.

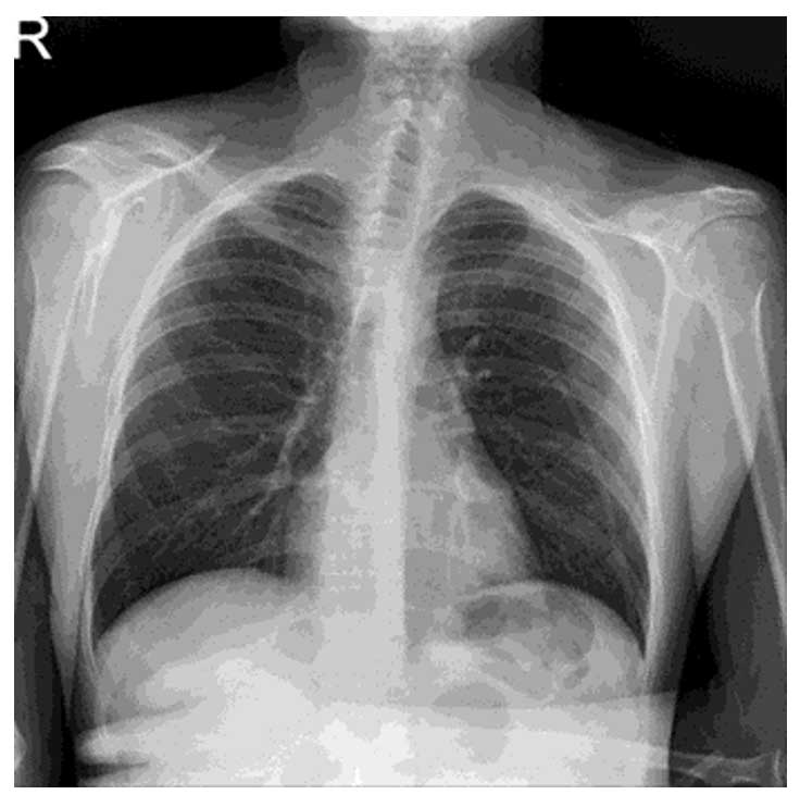
Ameliyat Öncesi: Röntgende özellik yok iken tomografide kemik harabiyeti görülmekte.

Ameliyat Esnası: İnsizyon hattı, çıkarılan tümör dokusu ve oluşan boşluk görülmekte.

Ameliyat Sonrası: İnsizyon hattı ve hareket açıklığı görülmekte.

Ameliyat Sonrası: Röntgende sol total klavikulektomi ameliyatı görülmekte.


