Vaka 04: Dirsek (Proksimal Ulna) Yerleşimli Ewing Sarkom
- Gösterim: 116
ChatGPT:
Detaylı Hasta Bilgileri ve Tedavi Süreci
Hasta Bilgileri
-
Kız çocuk hasta
-
Dirsek çevresinde ağrı, şişlik ve hareket kısıtlılığı şikayeti
-
Görüntüleme tetkiklerinde proksimal ulna kaynaklı agresif lezyon saptandı
-
Kapalı iğne biyopsisi sonucu Ewing sarkom olarak raporlandı
Uygulanan Tedavi
-
Protokole uygun neoadjuvan kemoterapi uygulandı
-
Kemoterapi yanıtı sonrası geniş tümör rezeksiyonu gerçekleştirildi
-
Çıkarılan kemik segmenti sıvı azot ile geri kazanım (cryotherapy/otogreft) yöntemiyle yeniden kullanıldı
-
Stabilite için uygun plak–vida fiksasyonu yapıldı
-
Yumuşak doku onarımı tamamlandı
Sonuç
Ameliyat sorunsuz seyretti. Erken dönemde enfeksiyon veya nörolojik defisit izlenmedi. Dirsek fonksiyonlarını korumaya yönelik rehabilitasyon programı başlatıldı ve onkolojik takip planlı şekilde devam etmektedir.
Görsel Açıklamaları
Ameliyat Öncesi: Röntgende proksimal ulnada skleroz, düzensizlik ve periost reaksiyonu görülmekte.
Ameliyat Öncesi: MR’da aynı lokalizasyonda düzensizlik, periost reaksiyonu ve peritümöral ödem görülmekte .

Ameliyat Esnası: Biyopsi traktını içine alan insizyon hattı, çıkarılan tümörlü kemik, oluşan boşluk ve ulnar sinirin korunması görülmekte.

Ameliyat Esnası: Sıvı azot ile geri kazanım ve titanyum plak ile yerine fikse edilip triceps’in stüre edilmesi görülmekte.

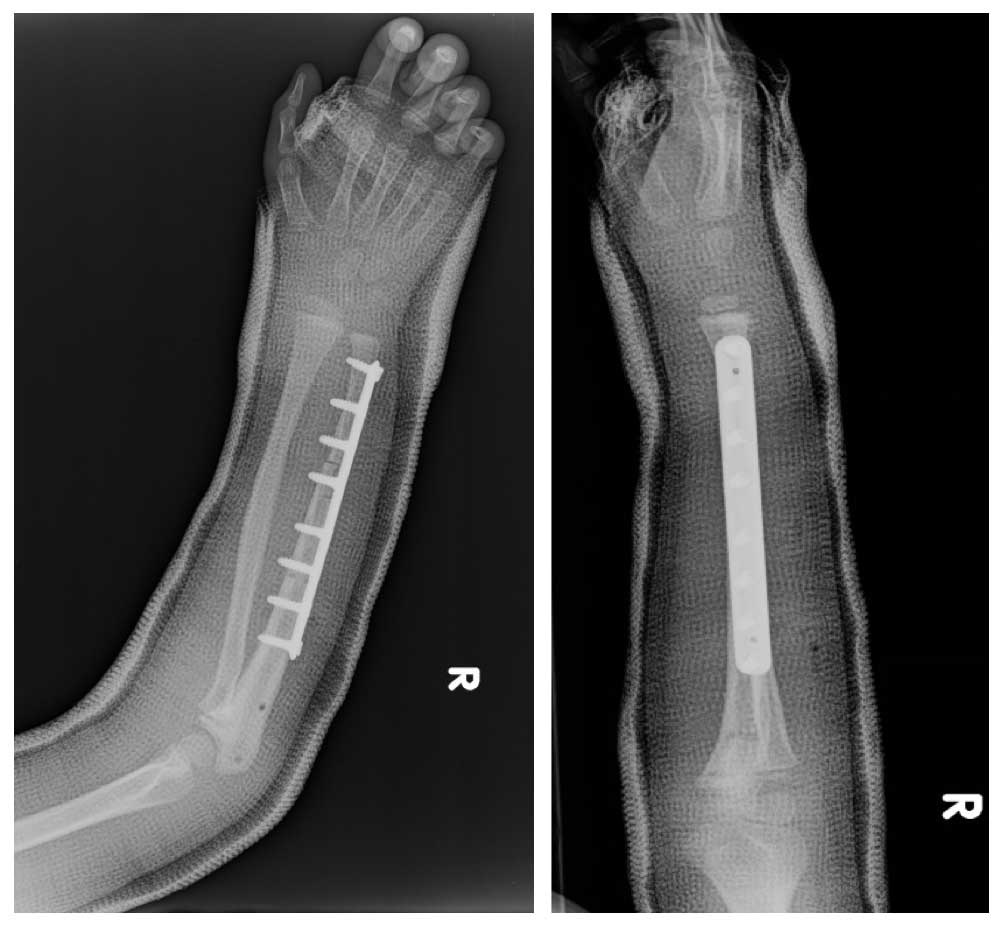
Ameliyat Sonrası: Röntgende geri kazanılan kemiğin plak ile fiksasyonu görülmekte.


