Vaka 03: Kol (Humerus) Yerleşimli Ewing Sarkom
- Gösterim: 100
ChatGPT:
Detaylı Hasta Bilgileri ve Tedavi Süreci
Hasta Bilgileri
-
Genç erkek hasta
-
Kol bölgesinde artan ağrı, şişlik ve fonksiyon kaybı şikayeti
-
Görüntüleme tetkiklerinde humerustan kaynaklanan agresif lezyon izlendi
Uygulanan Tedavi
-
Protokole uygun neoadjuvan kemoterapi uygulandı
-
Kemoterapi yanıtı sonrası geniş tümör rezeksiyonu gerçekleştirildi
-
Çıkarılan kemik segmenti sıvı azot ile geri kazanım (cryotherapy/otogreft) yöntemi ile yeniden kullanıldı
-
Stabilite için uygun plak–vida fiksasyonu yapıldı
Sonuç
Ameliyat komplikasyonsuz tamamlandı. Erken dönemde enfeksiyon ve nörolojik sorun izlenmedi. Rehabilitasyon programı başlatıldı ve onkolojik takip planlı şekilde sürdürülmektedir.
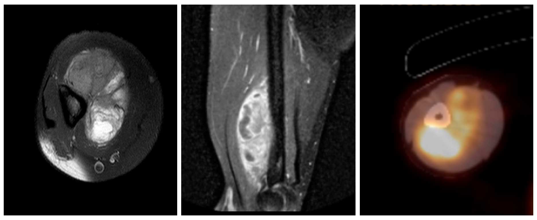
Görsel Açıklamaları
Ameliyat Öncesi: MR’da distal humerus anterior yerleşimli korteksde çökmeye neden olan heterojen yumuşak doku kitlesi, Pet-CT’de artmış aktivite görülmekte.
Ameliyat Esnası: Çıkarılan tümörlü kemiğin klinik görüntüsü ve oluşan boşluk görülmekte.

Ameliyat Esnası: Yumuşak dokudan sıyrılan kemiğin sıvı azot ile geri kazanımı ve yerine yerleştirilip plak ile fikse edilmesi görülmekte.

Ameliyat Sonrası: Röntgende geri kazanılan kemiğin çift plak ile fiksasyonu görülmekte.


