Vaka 02: Kol Yerleşimli İskelet Dışı Ewing Sarkom
- Gösterim: 118
ChatGPT:
Detaylı Hasta Bilgileri ve Tedavi Süreci
Hasta Bilgileri
-
Genç kadın hasta
-
Üst kolda giderek artan ağrı ve şişlik şikayeti
-
Yapılan MR ve BT’de yumuşak dokudan kaynaklanan kitle izlendi
-
Kapalı biyopsi sonucu ekstraskeletal Ewing sarkom ile uyumlu değerlendirildi
Uygulanan Tedavi
-
Protokole uygun neoadjuvan kemoterapi uygulandı
-
Tümör yanıtı sonrası geniş rezeksiyon gerçekleştirildi
-
Fonksiyon korunumu gözetilerek sinir ve damar yapıları dikkatle korundu
Sonuç
Cerrahi sorunsuz tamamlandı. Ameliyat sonrası dönemde yara takibi ve fonksiyonel rehabilitasyon başlatıldı. Onkolojik takip süreci planlandığı şekilde devam etmektedir.
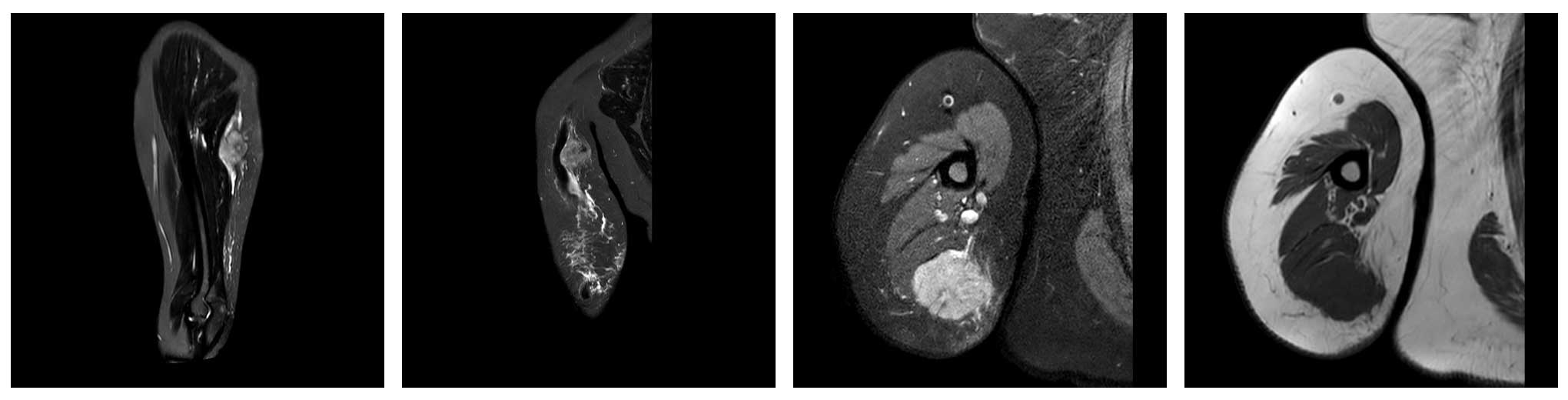
Görsel Açıklamaları
Ameliyat Öncesi: Kol proksimal posterior yerleşimli düzensiz sınırlı heterojen yumuşak doku kitlesi görülmekte.
Ameliyat Esnası: Kitlenin klinik görüntüsü ve tümör çıkarıldıktan sonra oluşan boşluk görülmekte.

Ameliyat Esnası: Çıkarılan tümörün klinik görüntüsü görülmekte.


