VAKA 10: Kol Yerleşimli Leiomyosarkom
- Gösterim: 77
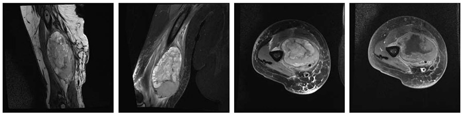
Kolda şişlik ile başvuran hastanın yapılan muayenesi ve radyolojik tetkiklerinde yumuşak doku tümörü saptandı. İğne biyopsisinde yumuşak doku sarkomu (Leiomyosarkom) tanısı konulan hastanın tümörü radyoterapi sonrası temiz sınırlar ile çıkarıldı.
Ameliyat Öncesi: MR’da kol medialde humerus üzerine oturmuş nörovasküler yapıları itmiş düzensiz sınırlı heterojen kitle görülmekte

Ameliyat Esnası: Tümör çıkarıldıktan sonra damar sinir paketlerinin sağlam olduğu görülmekte

Ameliyat Esnası: Çıkarılan tümörün kinik görüntüsü görülmekte


