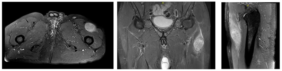
VAKA 39: Uyluk Yerleşimli Liposarkom
- Gösterim: 68
Uyluk bölgesinde şişlik ile başvuran hastanın klinik muayenesi ve radyolojik tetkiklerinde yumuşak doku tümörü saptandı. İğne biyopsisinde yumuşak doku sarkomu (Liposarkom) tanısı konulan hastanın taramalarında metastaz saptanmaması üzerine radyoterapiyi takiben geniş rezeksiyon uygulanarak tümör temiz sınırlar ile çıkarıldı.
Ameliyat Öncesi: MR’da uyluk proksimal anterior yerleşimli düzensiz sınırlı, heterojen ve çevreleyen ödemin eşlik ettiği tümör kitlesi görülmekte.

Ameliyat Esnası: Üzerindeki cilt ile birlikte çıkarılan tümörün klinik görüntüsü görülmekte


