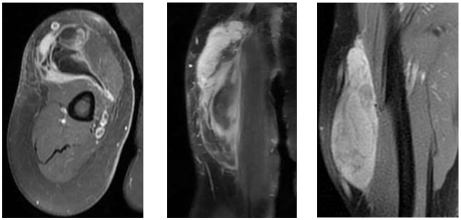
VAKA 9: Kol Yerleşimli Leiomyosarkom
- Gösterim: 78
Kolda şişlik şikayeti ile bize başvuran ve yapılan iğne biyopisi ile yumuşak doku sarkomu ( Leiomyosarkom) tanısı konulup radyoterapiyi takiben tümörü temiz bir şekilde çıkarılan hastamız
Ameliyat Öncesi: MR’da kol ön kısımda sınırları düzensiz heterojen yumuşak doku kitlesi görülmekte

Ameliyat Esnası: İnsizyon planlaması, çıkarılan tümör dokusu, oluşan boşluk ve nörovasküler yapılar görülmekte


