VAKA 11: Kol Yerleşimli Miksofibrosarkom
- Gösterim: 65
Kolda şişlik ve ağrı şikayeti ile bize başvuran ve yapılan iğne biyopisi ile yumuşak doku sarkomu (Miksofibrosarkom) tanısı konulup radyoterapiyi takiben tümörü temiz bir şekilde çıkarıldı ve oluşan boşluk cilt grefti ile kapatıldı.
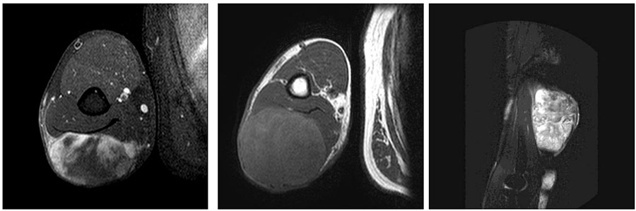
Ameliyat Öncesi: MR’da kol arka kısımda sınırları düzensiz heterojen yumuşak doku kitlesi görülmekte

Ameliyat Esnası: Tümörün çıkarılmadan önce sonraki klinik görüntüsü

Ameliyat Sonrası: Kitle çıkarıldıktan sonra cilt grefti ile kapama görülmekte


