VAKA 56: Uyluk Yerleşimli Indferansiye Pleomorfik Sarkom
- Gösterim: 55
Uyluk arkasında şişlik nedeniyle hematom düşünülüp boşaltılan fakat tekrarlaması üzerine yapılan iğne biyopsisinde yumuşak doku sarkomu (Indferansiye pleomorfik sarkom) tanısı konulup tümör temiz sınırlar ile çıkarıldıktan sonra radyoterapiye yönlendirilen hastamız
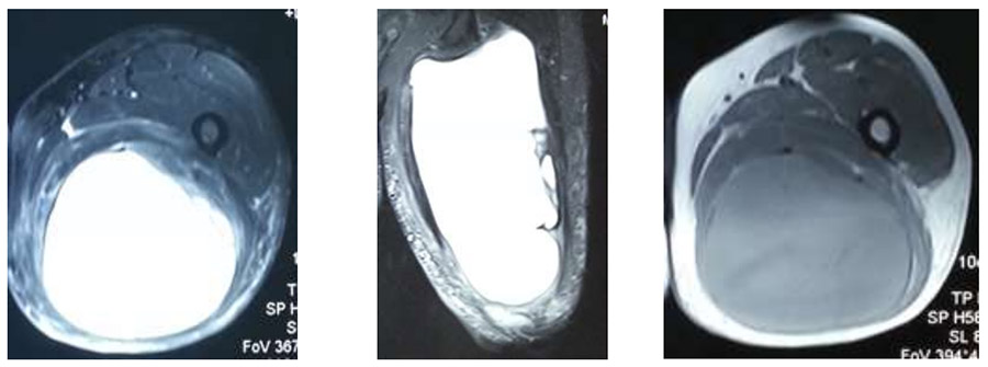
Ameliyat Öncesi: MR’da büyük kist alanının eşlik ettiği düzensiz sınırlı kitle görülmekte

Ameliyat Öncesi ve Esnası: Tümörün çıkarılmadan önce ve sonrası klinik görüntüsü, eski insizyon hattı ile oluşan boşluk ve siyatik sinir görülmekte


