VAKA 59: Uyluk Yerleşimli Miksofibrosarkom
- Gösterim: 53
Uyluk iç kısımda şişlik ile başvuran hastanın yapılan muayenesi ve radyoloji tetkiklerinde kitle saptanması üzerine uygulanan iğne biyopsisinde yumuşak doku sarkomu (Miksofibrosarkom) tanısı kondu ve radyoterapiyi takiben geniş sınırlar ile tümör çıkarma ameliyatı gerçekleştirdik.
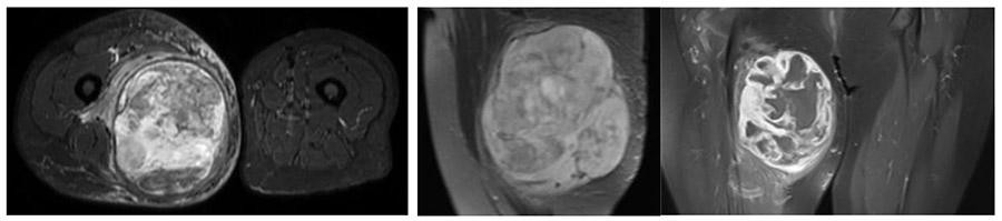
Ameliyat Öncesi: MR’da uyluk iç kısımda damar sinir paketini ittiren, düzensiz sınırlı heterojen, periferik ödemin eşlik ettiği yumuşak doku kitlesi görülmekte

Ameliyat Esnası: Çıkarılan tümörün klinik görüntüsü, oluşan boşluk ve siyatik sinir görülmekte


