VAKA 62: Uyluk Yerleşimli Squamöz Hücreli Kanser
- Gösterim: 64
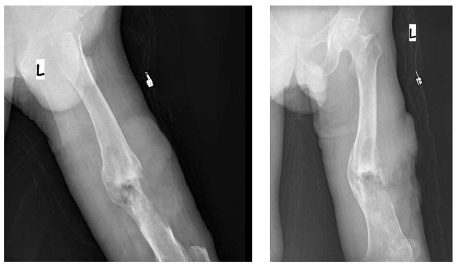
Uyluk dış kısımda şişlik ve yara ile başvuran hastanın yapılan muayenesi ve radyoloji tetkiklerinde kitle saptanması üzerine uygulanan iğne biyopsisinde cilt kanseri (Squamöz Hücreli Kanser) tanısı kondu ve mevcut tümörün yaygınlığı ve kemik harabiyeti göz önüne alınarak yüksek uyluk seviyesinden amputasyon işlemi uygulandı
Ameliyat Öncesi: Tümörün klinik görüntüsü görülmekte

Ameliyat Öncesi: Röntgende kemik harabiyeti ve tümörün yumuşak doku gölgesi görülmekte

Ameliyat Öncesi: MR’da ciddi kemik harabiyetine neden olan cildi invaze eden düzensiz sınırlı heterojen kitle görülmekte

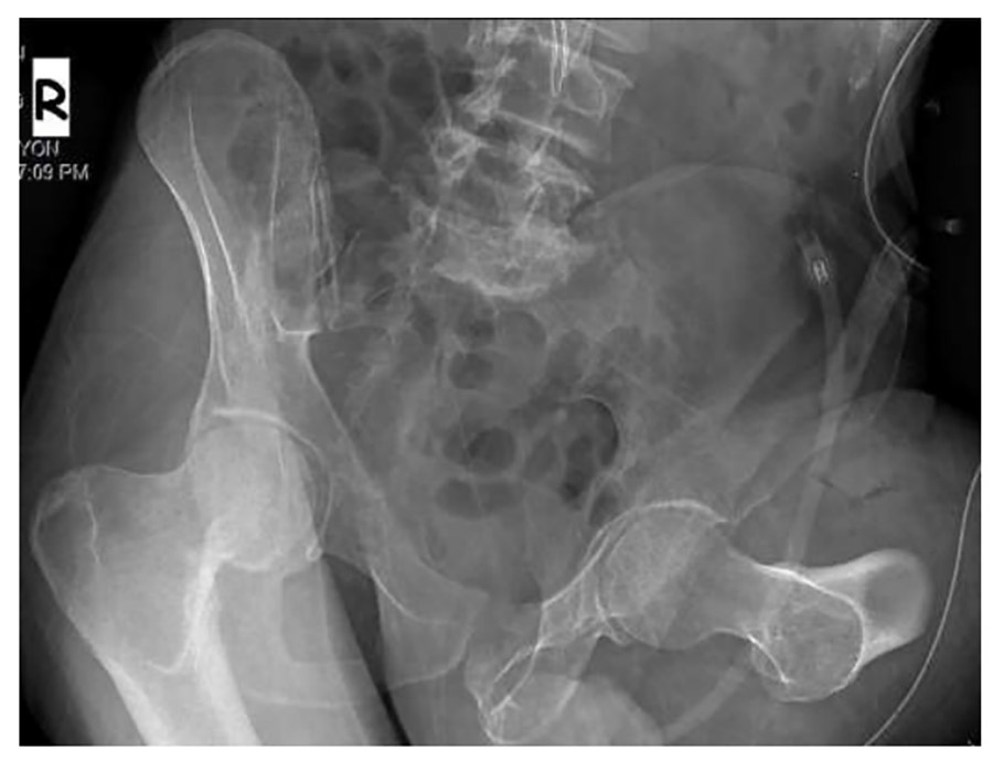
Ameliyat Sonrası: Röntgende yüksek uyluk amputasyon uygulandığı görülmekte


