VAKA 79: Diz Yerleşimli Malign Periferik Sinir Kılıfı Tümörü
- Gösterim: 69
Dizde yumuşak doku kitlesi nedeniyle başka bir merkezde plansız ameliyat yapılan ve patoloji sonucu cerrahi sınır pozitif yumuşak doku sarkomu (Malign periferik sinir kılıfı tümörü) gelen hastaya kalıntı (rezidüe) tümör nedeniyle yatak rezeksiyonu yapılıp Tibialis posterior tendon transferi uyguladık.
İlk Başvuru: İlk ameliyat öncesi MR’da diz posterolateralde düzensiz sınırlı heterojen yumuşak doku kitlesi görülmekte

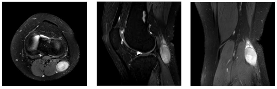
Ameliyat Öncesi: İlk ameliyat sonrası kontrol MR’da kalıntı tümör dokusu ve çevreleyen ödem görülmekte

Ameliyat Esnası: Eski insizyon hattını eksize edecek şekilde planlama, peroneal sinir ve proksimal fibula kesisi görülmekte

Ameliyat Esnası: Çıkarılan tümör dokusunun klinik görüntüsü

Ameliyat Esnası: Tümör çıkarıldıktan sonra oluşan boşluk, tibial sinir ve posterolateral köşe tamiri sonrası kas örtümü görülmekte.


