VAKA 82: Bacak Yerleşimli Liposarkom
- Gösterim: 73
Bacakta şişlik ve ağrı şikayeti ile başvuran hastanın yapılan muayenesi ve radyolojik tetkiklerinde yumuşak doku kitlesi saptanması üzerine uygulanan iğne biyopsisinde yumuşak doku sarkomu (Liposarkom) tanısı konuldu ve radyoterapiyi takiben tümör kemik korteksi ile birlikte temiz sınırlar ile çıkarıldı ve oluşan boşluk kemik çimentosu ile doldurulup titanyum anatomik plak ile güçlendirme ameliyatı gerçekleştirildi
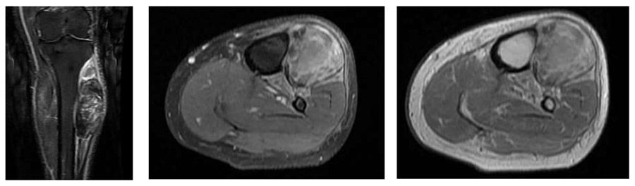
Ameliyat Öncesi: MR’da tibia korteksi üzerine oturmuş düzensiz sınırlı heterojen kitle etrafında ödem görülmekte

Ameliyat Esnası: Biyopsi traktını eksize edecek şekilde insizyon hattı, çıkarılan kitlenin klinik ve skopi görüntüsü görülmekte

Ameliyat Esnası ve Sonrası: Kitle çıkarıldıktan sonra çimento ve plak ile yapılan rekonstrüksiyonun klinik ve röntgen görüntüsü görülmekte


